ONKOLOGIE
- kazuistika
ONK-108 ze dne 27.06.2008
Zobrazení parapelvické ledvinné cysty na celotělové scintigrafii imitující akumulující metastázu karcinomu štítné žlázy
MUDr. Otakar Kraft, Ph.D., MUDr. Pavel Širůček
Klinika nukleární medicíny
Fakultní nemocnice Ostrava-Poruba
Kazuistika
NO: 65 letý nemocný po STE pro papilární karcinom štítné žlázy s infiltrací do příčně pruhované svaloviny, krevních i lymfatických cév a s metastatickým postižením dvou lymfatických krčních uzlin, pT3N1Mx. Stav po tyreoeliminaci
131I. Pro velké reziduum štítné žlázy reoperace a odstranění krčních uzlin vpravo – již bez průkazu maligních buněk ve tkáni štítné žlázy a v odstraněných uzlinách.
Pacient byl přijat v myxedému k terapii radiojodem.
Po vysazení substituční terapie hormony štítné žlázy (Euthyrox 100 µg denně) před aplikací terapeutické aktivity 7,4 GBq
131I:
Free tyroxin: (fT4)
< 5 pmol/l
Total trijodtyronin: (TT3) 0,38
nmol/l
Tyreotropin: (TSH)
39,82 mU/l
Thyreoglobulin: (TG)
0,4 µg/l
Antityreoglobulin: (antiTG) < 50 U/ml
V arteficiálním myxedému po vysazení Euthyroxu je na celotělových scintigramech po podání 7,4 GBq
131I - dvou tobolek s jodidem (131I) sodným pro terapeutické použití (Sodium Iodide (I 131) Capsules T Mallincrodt Medical) - tento nález:
Celotělová scintigrafie po terapii 131I 7,4 GBq:

/ Obr. č. 1: Celotělová scintigrafie 4 dny po podání 7,4 GBq 131I - přední a zadní projekce /
Celotělová scintigrafie po terapeutické aktivitě 131I: Akumulující ložisko v pravém hypochondriu -
susp. metastáza - vhodné dovyšetření ultrasonografické, CT event. cholesctintigrafie k vyloučení či potvrzení artefaktu.

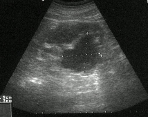
/ Obr. č. 2: Ultrasonografické vyšetření břicha /
Ultrasonografické vyšetření břicha: Játra nezvětšená, vyšší
echogenity, bez určitých ložiskových změn, žlučník bez patologického obsahu, žlučové cesty nerozšířené, pankreas a paraaortální oblast nepřehledné, slezina nezvětšená, normechogenní. Ledviny normálně uložené, do oblasti kalichopánvičkového systému pravé ledviny se promítá objemné nepravidelně konturované hypo až anechogenní ložisko rozměrů 59x63mm, levá ledvina bez ložiskových změn, bez městnání. Močový měchýř malé náplně, v malé pánvi bez nálezu volné tekutiny.
Závěr: V.s. mírná steatoza jater, objemné ložisko v oblasti kalichopánvičkového systému pravé ledviny - parapelvická cysta.
Závěr
Pacient s papilárním karcinomem štítné žlázy byl přijat k terapii 131I pro dříve zjištěné metastázy v krčních uzlinách. Po podání terapie
7,4 GBq
131I je na celotělové scintigrafii patrné akumulující ložisko radiojodu v horní části břicha vpravo. Pro podezření na možnou akumulující metastázu karcinomu štítné žlázy jsme doplnili sonografické vyšetření břicha. Na sonogramu byla zjištěna velká parapelvická cysta pravé ledviny. Jedná se tedy o akumulaci radiojodu ve velké parapelvické cystě.
Pracoviště:
Fakultní nemocnice Ostrava
Klinika nukleární medicíny
17.listopadu 1790
708 52 Ostrava-Poruba
přednosta: MUDr. Otakar Kraft, Ph.D.
kontakt na autory:
e-mail: otakar.kraft@fnspo.cz,
pavel.sirucek@fnspo.cz
<<
ZPĚT
|