ONKOLOGIE
- kazuistika
ONK-133 ze dne 04.08.2010
Průkaz přítomnosti somatostatinových receptorů u metastázujícího neuroendokrinního karcinomu hlavy pankreatu pomocí
SPECT/CT s 111In-pentetreotidem (OctreoScan®) před léčbou analogy somatostatinu
MUDr. Jiří Doležal, Ph.D.
Oddělení nukleární medicíny
Fakultní nemocnice a Lékařská fakulta UK, Hradec Králové
Anamnéza
79letý pacient vyhledal lékaře pro návaly horka (flush syndrom). Nicméně odpady kyseliny
5-HIO do moči byly normální. Na CT břicha se zobrazila ložisková expanze o průměru 3 cm v hlavě pankreatu a mnohočetná hypodenzní ložiska v obou lalocích jater. Následovala cílená biopsie z ložiska v hlavě pankreatu při
endosonografii. Histologicky se jednalo o neuroendokrinní karcinom. Dále byla provedena cílená biopsie ložisek v játrech pod kontrolou
UZ. Histologické vyšetření bioptického materiálu potvrdilo přítomnost metastáz neuroendokrinního karcinomu v játrech. Vzhledem k diseminaci onemocnění radikální chirurgická léčba nebyla možná a byla zvažována terapie analogy
somatostatinu. Před touto léčbou pacient absolvoval scintigrafii s
111In-pentetreotidem (OctreoScan®) k průkazu somatostatinových receptorů a dokončení stagingu onemocnění. Vyšetření proběhlo formou celotělové scintigrafie v přední a zadní projekci za 4 hodiny po i.v. aplikaci 111 MBq
111In-pentetreotidu. Ta byla dále pro zvýšení sensitivity, specificity a upřesnění prostorové lokalizace nádorové léze doplněna hybridním
SPECT/low dose CT. Vyšetření se uskutečnilo na dvouhlavé digitální rotační gamakameře Infinia
(General Electric Medical Systems) s velkým zorným polem scintilačních detektorů. Gamakamera byla osazena kolimátory pro střední energie (300
keV) s funkcí infračerveného kopírování povrchu těla pacienta. Scintigrafie zjistila ložisko neuroendokrinního karcinomu v hlavě pankreatu a metastázy v játrech. Všechna ložiska vykazovala vysokou koncentraci somatostainových receptorů a byla vhodná pro léčbu analogy
somatostatinu. V současné době pacient dostává tuto léčbu a je bez obtíží.
Vyšetření
Scintigrafie somatostatinových receptorů s OctreoScanem® doplněná o hybridní
SPECT/low dose CT
Scintigrafie zjistila ložisko tkáně s patologicky zvýšenou koncentrací somatostatinových receptorů v epigastriu vpravo od střední čáry v oblasti hlavy pankreatu, průměr ložiska byl 30 mm. Dále se zobrazila četná ložiska tkáně s patologicky zvýšenou koncentrací somatostatinových receptorů v obou lalocích jater. Jinde nebylo zachyceno ložisko tkáně s patologicky zvýšenou koncentrací somatostatinových receptorů. Závěr: ložisko neuroendokrinního karcinomu v hlavě pankreatu a mnohočetné metastázy v játrech. Všechna ložiska vykazují vysokou koncentraci somatostatinových receptorů.
Závěr
Scintigrafie s 111In-pentetreotidem umožnila efektivně stanovit pozitivitu somatostatinových receptorů v primárním neuroendokrinním karcinomu v hlavě pankreatu i v mnohočetných jaterních metastázách a dovolila zahájit léčbu pacienta pomocí analogů somatostatinů.
SPECT/low dose CT významně přispěl ke zvýšení senzitivity, specificity a upřesnění prostorové lokalizace lézí a jejích přiřazení odpovídajícím anatomickým strukturám. Nález na scintigrafii somatostatinových receptorů ovlivnil další strategii léčby pacienta.

/ Obr. 1. Celotělová scintigrafie s 111In-pentetreotidem (OctreoScan®), přední a zadní projekce, 4 hodiny po i.v. aplikaci radiofarmaka.
/

/ Obr. 2. SPECT, CT a SPECT/CT, koronární řezy, ložisko neuroendokrinního karcinomu v hlavě pankreatu/

/ Obr. 3. SPECT, CT a SPECT/CT, koronární řezy, metastázy v játrech/

/ Obr. 4. SPECT, CT a SPECT/CT, transverzální řezy, ložisko neuroendokrinního karcinomu v hlavě pankreatu/

/ Obr. 5. SPECT, CT a SPECT/CT, transverzální řezy, metastázy v játrech/

/ Obr. 6. SPECT, CT a SPECT/CT, sagitální řezy, ložisko neuroendokrinního karcinomu v hlavě pankreatu/

/ Obr. 7. SPECT, CT a SPECT/CT, koronární, sagitální a transverzální řezy/

/ Obr. 8. SPECT dutiny břišní/

/ Obr. 9. SPECT dutiny břišní, koronární řezy/

/ Obr. 10. SPECT dutiny břišní, transverzální řezy/

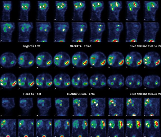
/ Obr. 11. SPECT dutiny břišní, transverzální řezy/
Pracoviště:
Fakultní nemocnice a Lékařská fakulta UK
oddělení nukleární medicíny
přednosta: MUDr. ing. Jaroslav Vižďa
Sokolská ul. 581
500 05 Hradec Králové
Kontakt
na autora:
MUDr. Jiří Doležal,
Ph.D.
tel.: +420-495832337
fax.: +420-495512346
dolezal@fnhk.cz
<<
ZPĚT
|