Scintigrafický průkaz akutní pyelonefritidy
MUDr. Otakar Kraft, Ph.D., MBA
Klinika nukleární medicíny
FN Ostrava-Poruba
Lékařská fakulta Ostravské univerzity
Kazuistika
15 leté děvče.
NO: Vyšetřena dětským lékařem pro bolesti v pravém podbřišku a
bolesti při močení (bolesti dva dny, dysurie asi týden). Vyšetřena moč,
ve které přítomnost krve a bílkoviny. Následně odeslána na chirurgickou
ambulanci, kde provedeno USG vyšetření břicha s normálním nálezem, stav
uzavřen jako pyelonefritis a cystitis. Nasazen Biseptol. Doma však teplota
39,2°C, proto pak hospitalizována na dětském oddělení, kde CRP 12
mg/l...26mg/l.
Laboratorní a paraklinická vyšetření:
Krevní obraz: Leu: 13.3, dif. segmenty (%): 76.50, Neutrofily-abs. počet:
10.200, dif. lymfocyty (%): 12.40, Lymfocyty-abs.počet: 1.660, dif. monocyty
(%): 10.90, Monocyty-abs. počet: 1.460, dif. eozinofily (%): 0.10, Eozinofily-abs.
počet: 0.010, dif. bazofily (%): 0.10, Bazofily-abs. počet: 0.010, dif. komentář:
bez kom., Erytrocyty: 4.3, Hgb (g/l): 132, Hct: 0.376, Střední objem ery (fl):
87.0, Hemoglobin ery (pg): 30.6, Hemoglob.koncentrace (g/l): 351, Šířka
distribuce ery (%): 11.9, Trombo: 247, střední objem trombo (fl): 11.3
Moč chemicky + sediment: Hustota (arb.j.): 1.009, 1.015, 1.014, pH (arb.j.):
6.0, 6.0, 5.5, Bílkovina (arb.j.): 1, 1, 0, Glukoza (arb.j.): 0, 0, 0, Ketolátky
(arb.j.): 0, 0, 0, Urobilinogen (arb.j.): 0, 0, 1, Bilirubin (arb.j.): 0, 0, 0,
Krev (arb.j.): 1, 0, 0, MS-erytrocyty (elem/ul): 3, 7, 3, MS-leukocyty (elem/ul):
472, 11, 11, MS-epitelie ploché (elem/ul): 8, 6, 38, MS-epitelie kulaté (elem/ul):
2, MS-bakterie (arb.j.): 1, MS-hlen (arb.j.): 1, 1, 1, Leuko (arb.j.): 4, 0, 1,
Kys. askorb. (arb.j.): 0, 0, 1
Základní biochemie: Na (mmol/l): 135, K (mmol/l): 3.9, Cl (mmol/l):
103, Urea-sérum (mmol/l): 3.4, Glu (mmol/l): 5.17, CRP (mg/l): 34., IL6 (ng/l):
42.8, Prokalcitonin (ug/l): 0.21, Enzymat.stanov.kreatininu (umol/l): 72.9
Vyšetření: Kvantit.kultivační vyšetření - Moč
Nález: 105/1ml Escherichia coli
Stanovení kvantitativní citlivosti (MIC v mg/l) na antibiotika: ampicilin.......C
1,000 ciprofloxacin......C 0,016 A I N...........C 0,500 kys. oxolinová.........C
1,000 kotrimoxazol......C 1,000 kolistin.........C 0,500 furantoin........C
2,000 gentamicin............C 1,000 cefuroxim..................C 0,500 amikacin...................C
1,000 ceftazidim.................C 0,125
CIPROFLOXACIN - CITLIVOST platí také pro: PEFLOXACIN, OFLOXACIN a NORFLOXACIN(pouze
u močových infekcí) AIN - AMOXYCILIN/kys.clav., AMPICILIN/sulbactam CEFUROXIM
- CITLIVOST platí také pro CEFPROZIL Kys. OXOLINOVÁ - CITLIVOST nebo
REZISTENCE platí pro všechny CHINOLONY, CEFALOTIN - platí pro všechny
cefalosporiny Kódy MIC citlivosti: C=citlivé při běžném dávkování,
R=rezistentní, X=výsledek sdělíme na požádání
Po nasazení antibiotické terapie:
Vyšetření: Kvantit.kultivační vyšetření - Moč nález: negativní.
Opakované ultrasonografické vyšetření urotraktu:
Ledviny v obvyklé lokalizaci, normálního tvaru, struktury, levá normální
echogenity, vel. 106x35 mm v podélném řezu, korová zóna šíře do 12 mm,
ostrá kortikomedulární hranice, bez dilatace odvodného systému.
Pravá ledvina s mírně vyšší echogenitou korové zóny, která šíře do
15 mm, vel. levé ledviny je 105x40 mm v podélném řezu, patrné diskrétní
setření kortikomedulární hranice, odvodný systém není dilatován.
Moč. měchýř v normální lokalizaci, anechogenního obsahu, málo naplněn,
objemu do 18 ml, v jeho okolí bez známek volné tekutiny.
Ré.: diskrétní USG známky TIN na pravé ledvině, močový měchýř málo
naplněn
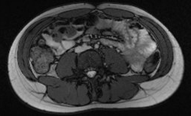
MR břicha (obr. 1, 2, 3, 4, 5):

/ Obr. č. 1: MR břicha /

/ Obr. č. 2: MR břicha /

/ Obr. č. 3: MR břicha /

/ Obr. č. 4: MR břicha /
NÁLEZ: ledviny normálního tvaru, velikosti a uložení, kontury ostré, KPS štíhlé.

/ Obr. č. 5: MR břicha /
V pravé ledvině patrné četné pruhovité okrsky restrikce difuze přes celou šíři parenchymu, vlevo normální nález bez restrikce
difuze.
ZÁVĚR: známky pyelonefritis ac. l.dx.
Statická scintigrafie ledvin:
Statickou scintigrafii ledvin jsme provedli za 2 hodiny po i.v. aplikaci 150 MBq
99mTc-DMSA (přípravek TechneScan – DMSA) na dvoudetektorové scintilační kameře E.CAM Siemens v zadní, přední a obou zadních šikmých projekcích
(obr.6).

/ Obr. č. 6: Statická scintigrafie ledvin v zadní, přední a zadních šikmých projekcích
v poloze pacientky vleže s výsledky výpočtu relativní funkce obou ledvin.
/
Na scintigramech se zobrazily obě ledviny normálního uložení i velikosti, obvyklého tvaru, levá ledvina je bez ložiskových změn, v pravé zadní šikmé projekci je horní polovina pravé ledviny hypoaktivní, v zadní projekci je patrný ložiskový defekt v mediální části horní poloviny pravé ledviny. Poměr relativní funkce obou ledvin: L:P = 48,7 %:51,3 %.
Závěr: normální scintigramy levé ledviny, patologický scintigram pravé ledviny: relativní hypoaktivita horní poloviny ledviny a ložiskový defekt v mediální části horní poloviny pravé ledviny. Symetrická funkce ledvin, poměr relativní funkce obou ledvin: L:P = 48,7
% : 51,3 %.
Závěr
U 15letého děvčete byla shodně pomocí tří zobrazovacích metod – ultrasonografie, magnetické rezonance a statické scintigrafie ledvin – potvrzena akutní pyelonefritida s postižením pravé ledviny.
Fakultní nemocnice Ostrava
Klinika nukleární medicíny
přednosta: MUDr. Otakar Kraft, Ph.D., MBA
17.listopadu 1790
708 52 Ostrava-Poruba
a Lékařská fakulta Ostravské univerzity
kontakt na autora:
otakar.kraft@fno.cz