KC SOLID s.r.o.
 




úvod     I     novinky     I      mapa serveru     I     kontakt


<< ZPĚT


  ONKOLOGIE  -  kazuistika ONK-75 ze dne 21.03.2007
 

Octreoscan – karcinoid ilea a céka

MUDr. Otakar Kraft, Ph.D.
Klinika nukleární medicíny 
Fakultní nemocnice Ostrava-Poruba


Kazuistika:
57 letý muž s touto anamnézou:
RA: otec zemřel na srdeční onemocnění.
OA: je sledován na urologickém oddělení pro onemocnění prostaty. Operace: APE. Úrazy: fraktura LDK.
FA: Omnic 0,4 mg obden.
NO: Od září 2006 řídká stolice 3 až 4x denně půl hodiny po jídle. V roce 2002 byl kolonoskopicky vyšetřen s normálním nálezem. V minulosti občasné enteroragie při vnitřních hemoroidech, občas v míse čerstvá krev s efektem podaných rektálních čípků. V říjnu 2006 průjmy odezněly. Bolesti břicha nebyly, bez návalů horka nebo dýchacích obtížích, bez zvýšené teploty, zhubnul 3 kg.
Ultrasonografie břicha koncem září 2006: suspektní tumor pod hepatální flexurou tlustého střeva.
Kolonoskopie 12.10.2006: cékum norm., zbytnělá edematosní Bauhinská chlopeň, s plochým trojúhelníkovým vředem velikosti 8 mm v ústí, které stenotické, mírně zarudlé, zúženo na 8-9 mm, při poloze endoskopu v ústí je na horní straně stenosy další podélný plochý vřídek s fibrinosním povlakem, stenosou se nedaří proniknout ani za použití bioptických kleští jako vodiče, provedena biopsie. Malé až střední vnitřní hemoroidy, jinak makroskopicky normální vzhled kolon.
Histologické vyš. bioptických vzorků získaných při kolonoskopii: dobře diferencovaný karcinoid s Merkelovými buňkami v mukose a na hranici submukosy.
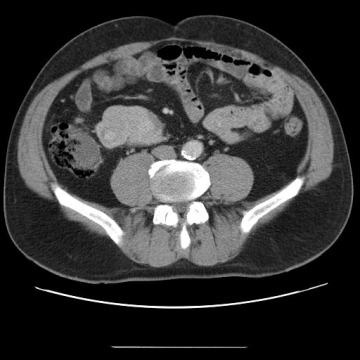
CT břicha 24.10.2006 (obr.1-7): játra nezvětšená, přiměřené denzity, s vícečetnými hypodenzními, lehce neostře ohraničenými ložisky, největší velikosti 20x16 mm je v 4A segmentu, drobnější (10 mm) je v 8. segmentu a další nejméně tři ještě drobnější (do 5 mm) jsou v 6. a 4. segmentu. Pankreas, slezina, nadledviny bpn. Vpravo v ledvině korová cysta velikosti 20 mm. Vpravo v meso-hypogastriu jsou v průběhu terminálního ilea dvě patolog. expanze (či jedna dvoulaločnatá), které se zřetelně sytí po kontr. látce. Jedna je v oblasti Bauhinské chlopně, má velikost 36x25x25 mm, větší mediálnější je velikosti 73x44x43 mm. Expanze jsou vcelku dobře ohraničené, v okolí bez přesvědčivé desmoplastické reakce. V oblasti kořene mesenteria vpravo jen drobné (do 7 mm) ojedinělé lymf. uzliny, mírně větší ojedinělá uzlina je paraaortálně (15x8 mm). Bez volné tekutiny v dutině břišní. Baze plic bpn. Na skeletu bez ložiskových změn. Závěr: dvě patologické expanze v oblasti terminálního ilea (karcinoid dle histol. vyš.), bez známek infiltrace okolí. V.s. vícečetná drobná metastatická ložiska v játrech.
 

Obr.č.1: CT vyšetření břicha
/ Obr.č.1: CT vyšetření břicha /
 
 

Obr.č.2: CT vyšetření břicha
/ Obr.č.2: CT vyšetření břicha /
 
 

Obr.č.3: CT vyšetření břicha
/ Obr.č.3: CT vyšetření břicha /
 
 

Obr.č.4: CT vyšetření břicha
/ Obr.č.4: CT vyšetření břicha /
 

 
Obr.č.5: CT vyšetření břicha
/ Obr.č.5: CT vyšetření břicha /
 

 
Obr.č.6: CT vyšetření břicha
/ Obr.č.6: CT vyšetření břicha /
 
 

Obr.č.7: CT vyšetření břicha
/ Obr.č.7: CT vyšetření břicha /

Gastroskopie 25.10.2006: hypertrofický vzhled řasy v D2 v.s. Vater. papily v prográdním přístroji, bez nálezu event. dalšího synchronního ložiskového postižení do D3. 

Pacient s karcinoidem terminálního ilea a Bauhinské chlopně (ověřeno histologicky) a se susp. jaterními metastázami byl k dokončení stagingu odeslán na naše oddělení k provedení scintigrafického vyšetření. 

Scintigrafické zobrazení:

Po příslušné přípravě jsme provedli planární celotělovou scintigrafii za 5 hod. (obr. 8) s cílenou tomografickou scintigrafii břicha (obr. 9), dále celotělovou scintigrafii za 24 hod. (obr. 10) po i.v. podání 150 MBq analogu somatostatinu značeného 111In (přípravek OctreoScan firmy Mallinckrodt Medical) na dvouhlavé tomografické kameře E.CAM firmy Siemens. Je patrná jednak fyziologická depozice radioaktivity ve slezině, ledvinách, močovém měchýři a difuzně v játrech. Prokazujeme patologické ložisko v pravé polovině břicha těsně mediálně od vzestupného tračníku. V játrech žádná patol. ložiska nejsou patrná.

 
Obr.č.8: Celotělová scintigrafie v přední a zadní projekci 5 hod. po aplikaci OctreoScanu
/ Obr.č.8: Celotělová scintigrafie v přední a zadní projekci
5 hod. po aplikaci OctreoScanu /

 
 
Obr.č.9: SPECT břicha 5 hod. po aplikaci OctreoScanu Horní 2 řady: transverzální řezy, Třetí řada: sagitální řezy, dolní řada: koronální řezy
/ Obr.č.9: SPECT břicha 5 hod. po aplikaci OctreoScanu Horní 2 řady:
transverzální řezy, Třetí řada: sagitální řezy, dolní řada: koronální řezy /

 
 
Obr.č.10: Celotělová scintigrafie v přední a zadní projekci 24 hod. po aplikaci OctreoScanu
/ Obr.č.10: Celotělová scintigrafie v přední a zadní projekci
24 hod. po aplikaci OctreoScanu /

Po dokončení stagingu byla naplánována chirurgická léčba.

Operace 10.11.2006:
Laparoskopicky asistovaná pravostranná hemikolektomie a resekce terminálního ilea
Játra s třemi viditelnými metastázami vel. 2-10 mm v pravém i levém laloku. V mezikolu je patrná velká metastáza o průměru asi 7 cm zasahující až přes mediální čáru směrem doleva, jedná se o rozsáhlý konvolut metastázy, tumoru a infiltrovaného terminálního ilea. Celý konvolut má průměr větší než 10 cm. Dále proto v laparoskopické operaci neprokračováno – dále laparotomie. Uvolnění lateroperitonea v oblasti colon ascendens a provedena konverze. Metastáza a tumor infiltruje i retroperitoneum. Preparace v retroperitoneu je obtížná. Obnažen pravý ureter, který do infiltrátu rovněž zavzat. Prox. konec infiltrace zasahuje až k hlavě pankreatu. Resekce céka, vzestupného tračníku a asi 20 cm terminálního ilea. Anastomóza ileotransverzální end to end. Kolon rozstřiženo – karcinoid je v oblasti Bauhinské chlopně. Nelze vyloučit ani progresi z pahýlu appendixu (pacient po appendektomii). Pooperační průběh bez komplikací. 

Závěr:
U pacienta s prokázaným karcinoidem ilea a céka, se susp metastázami do jater (zjištěnými pomocí CT a vizuálně peroperačně, avšak neověřenými biopticky), scintigrafické vyšetření Octreoscanem potvrdilo přítomnost velkého nádorového ložiska v pravé polovině břicha. Jinde jsme metastázy nezjistili. Neprůkaz jaterních metastáz pomocí Octreoscanu je tedy v daném případě falešnou negativitou tohoto vyšetření. Je to však dáno zčásti tím, že tato ložiska jsou malé velikosti, kromě jednoho (dle CT má toto největší ložisko velikost 20x16 mm), navíc metastázy jsou pouze suspektní, neověřeny histologicky. Následně byla provedena poměrně obtížná operace s nálezem velké metastázy s infiltrací okolních struktur. 

Poděkování:
Za spolupráci děkuji MUDr. Liberdovi z Gastroenterologického oddělení Vítkovické nemocnice a.s. v Ostravě a MUDr. Janě Chmelové, Ph.D. z Ústavu radiodiagnostického FN Ostrava.


Pracoviště:

Fakultní nemocnice Ostrava
Klinika nukleární medicíny
17.listopadu 1790
708 52 Ostrava-Poruba 
přednosta: MUDr. Otakar Kraft, Ph.D.

kontakt na autora: 
e-mail: otakar.kraft@fnspo.cz

   

 

<< ZPĚT


Copyright © 1999-2010, KC SOLID, spol. s r.o. | webmaster - MK software