Vytištěno z www stránek firmy KC SOLID, spol. s r.o.
klinika.kcsolid.cz
Scintigrafie skeletu a neosifikující fibromy
doc. MUDr. Otakar Kraft, Ph.D., MBA
Klinika nukleární medicíny
FN Ostrava
Lékařská fakulta Ostravské univerzity
Kazuistika:
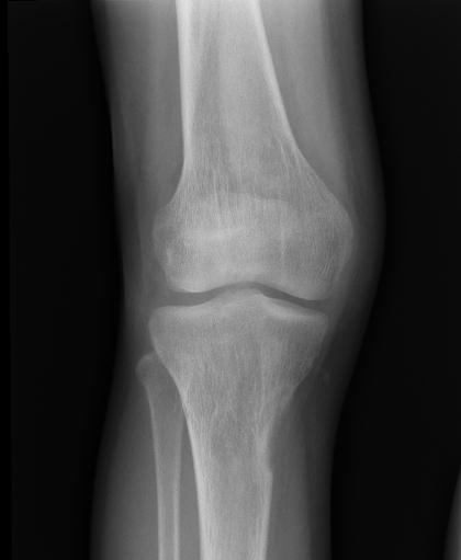
NO: 21letý muž v chronickém hemodialyzačním programu, kostní chorobou, stavem po dvou transplantacích ledviny. Na rtg bylo náhodně zjištěno osteolytické ložisko v proximální části pravé tibie
(obr. 1- 2).

/ Obr. č. 1: Rtg pravého kolena. /

/ Obr. č. 2: Rtg pravého kolena. /
Popis: Osteolytické ložisko med. okraje prox. diafýzy tibie vpravo (defekt kortikalis v délce cca 4
cm).
K dalšímu upřesnění nálezu na skeletu byl pacient odeslán internistkou ke scintigrafii
skeletu.
Celotělové scintigramy (obr.3) jsme provedli po podání 700 MBq
99mTc-oxidronátu (přípravek TechneScan HDP firmy Mallinckrodt Medical) na hybridní tomografické scintilační kameře Symbia T2 firmy Siemens. Vyšetření jsme doplnili o cílenou tomografickou scintigrafii (SPECT) kombinovanou s CT kolenních kloubů a přilehlé části stehenních kostí a kostí bérců
(obr. 4-11).

/ Obr. č. 3: Celotělová scintigrafie v přední a zadní projekci. /

/ Obr. č. 4: Fúze obrazů SPECT a CT. Zaměřeno na ložisko v proximální části pravé tibie. Řez transverzální, sagitální a koronální.
/

/ Obr. č. 5: Fúze obrazů SPECT a CT. Zaměřeno na ložisko v proximální části pravé tibie. Řez transverzální, sagitální a koronální.
/

/ Obr. č. 6: CT Zaměřeno na ložisko v proximální části pravé tibie. Řez transverzální, sagitální a koronální.
/

/ Obr. č. 7: Fúze obrazů SPECT a CT. Zaměřeno na ložisko v diafýze pravé tibie. Řez transverzální, sagitální a koronální.
/

/ Obr. č. 8: Fúze obrazů SPECT a CT. Zaměřeno na ložisko v diafýze pravé tibie. Řez transverzální, sagitální a koronální.
/

/ Obr. č. 9: CT Zaměřeno na ložisko v v diafýze pravé tibie. Řez transverzální, sagitální a koronální.
/

/ Obr. č. 10: Fúze obrazů SPECT a CT. Zaměřeno na třetí ložisko v proximální části pravé tibie. Řez transverzální, sagitální a koronální.
/

/ Obr. č. 11: CT Zaměřeno na třetí ložisko v proximální části pravé tibie. Řez transverzální, sagitální a koronální.
/
Popis: Tři ložiska lehce vyšší osteoblastické aktivity v pravé tibii – dvě v proximální části a třetí je v diafýze zhruba uprostřed laterálně. Tato ložiska jsou na ldCT oválného tvaru v kortikalis povrchově s výrazně sníženou denzitou (osteolytická), kortikalis je poněkud ztenčená. S velkou pravděpodobností se jedná o neosifikující fibromy.
Závěr
V uvedeném případě kostní scintigrafie pořízené pomocí hybridní kamery SPECT/CT prokazujeme tři ložiska v tibii, s velkou pravděpodobností se jedná o neosifikující fibromy.
Pracoviště:
Fakultní nemocnice Ostrava
Klinika nukleární medicíny
přednosta: doc. MUDr. Otakar Kraft, Ph.D., MBA
17.listopadu 1790
708 52 Ostrava-Poruba
a Lékařská fakulta Ostravské univerzity
kontakt na autora:
otakar.kraft@fno.cz
Vytištěno z www stránek firmy KC SOLID, spol. s r.o.
klinika.kcsolid.cz