ENDOKRINOLOGIE
- kazuistika
END-43 ze dne 03.05.2016
Hypoechogenní útvar v nadklíčku vpravo při
sonografii = adenom příštítného tělíska
detekovaný scintigrafií pomocí 99mTc-MIBI
MUDr. Jaromír Bernátek
oddělení nukleární medicíny
Krajská nemocnice T. Bati a.s., Zlín
Žena, 57 let.
Pacientka s osteoporózou odeslána endokrinologem pro hyperkalcémii a hyperkalciurii nejasné etiologie s žádostí o ev. scintigrafickou detekci patologicky změněného příštítného tělíska.
Z rodinné anamnézy: bez endokrinologických chorob
Z osobní anamnézy: osteoporóza
Objektivně: při přijetí eupnoe, afebrilní, bez cyanosy či ikteru, orientačně neurologicky neg., hlava a krk bez zjevné patologie, plíce-dýchání alveolární, bez vedlejších fenoménů, AS reg.72/min, TK 120/75 torr, břicho a DKK bez zjevné patologie
Laboratorně: hyperkalcémie, hyperkalciurie
Z vyšetřovacího programu:
Sonograficky v oblasti štítnice bez zřejmé patologie, vpravo v nadklíčku hypoechogenní útvar
9 mm.
K detekci, resp. lokalizaci patologicky změněného příštítného tělíska provedena scintigrafie příštítných tělísek pomocí kombinace 700MBq
99mTc-MIBI (vyšetření planární+SPECT/CT) a 185MBq 99mTc-pertechnetát (planární) na dvouhlavé hybridní gamakameře SPECT/ldCT Philips-Brightview (r. výroby 2012) s kolimátorem LEHR postupem dle platných doporučení.
Nalézáme zřetelnou oblast patologické ložiskové depozice Tc-MIBI se zpomaleným vymýváním radiofarmaka, která se při planárním snímkování zobrazuje pod dolním pólem pravého laloku štítné žlázy.
Nález zvýrazněn provedením počítačové subtrakce a pomocí SPECT/ldCT jej lokalizujeme ventrokaudálně cca
2 cm od dolního pólu pravého laloku štítnice.
Res.: v.s. patologické postižení příštítného tělíska vpravo dole.
Diskuse: Z výše uvedeného vyplývá přínos vyšetření pomocí kombinované scintigrafie příštítných tělísek při detekci patologicky změněného příštítného tělíska, v tomto případě navíc potvrzen značný přínos provedení hybridního vyšetření SPECT/CT při přesné lokalizaci patologického sonografického nálezu, který v tomto případě lokalizačně odpovídá sonografickému nálezu hypoechogenního útvaru v nadklíčku vpravo.
Závěr: Tato kazuistika opět potvrzuje naše výborné zkušenosti s kombinovanou scintigrafií příštítných tělísek.V případě naší pacientky byl nález včetně lokalizace potvrzen chirurgicky, histologicky pak šlo o adenom příštítného tělíska.

/ Obr.1: Planární scintigrafie v AP projekci pomocí 99mTc-pertechnetátu (vlevo dole) a
99mTc-MIBI (1.fáze vlevo nahoře, 2.vpravo nahoře),
kde zachycena zřetelná oblast zvýšeně akumulující radiofarmakon (Tc-MIBI) se zpomaleným vymýváním distálně od dolního pólu pravého laloku štítnice.
/

/ Obr.2: Při provedení počítačové subtrakce zachycena patologická ložisková depozice Tc-MIBI v oblasti distálně od dolního pólu pravého laloku štítnice.
/

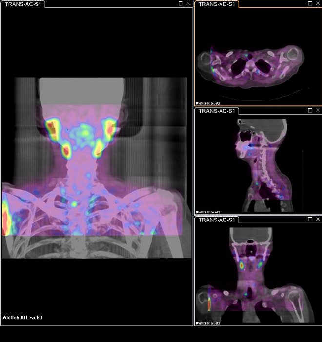
/ Obr.3: Scintigrafie pomocí 99mTc-MIBI metodou SPECT/ldCT (General MPR fusion) se zřetelnou patologickou ložiskovou depozicí radiofarmaka
lokalizovanou ventrokaudálně od dolního pólu pravého laloku štítnice. /

/ Obr.4:
Scintigrafie pomocí 99mTc-MIBI metodou SPECT/ldCT se zřetelnou patologickou ložiskovou depozicí radiofarmaka
lokalizovanou ventrokaudálně od dolního pólu pravého laloku štítnice.
/
Pracoviště:
Krajská nemocnice T.Bati a.s.
oddělení nukleární medicíny
Havlíčkovo nábř. 600
762 75 ZLÍN
kontakt na autora:
bernatek@bnzlin.cz
tel.: 577 552 233
<<
ZPĚT
|