KARDIOVASKULÁRNÍ SYSTÉM
- kazuistika
KAR-101 ze dne 08.01.2026
Průkaz transthyretinové srdeční amyloidózy
doc. MUDr. Otakar
Kraft, Ph.D., MBA
Klinika nukleární medicíny
FN Ostrava
Lékařská fakulta Ostravské univerzity
Kazuistika
78letý muž se středně těžkou hypertrofií myokardu, nově po implantaci kardiostimulátoru byl odeslán kardiologem na scintigrafii k vyloučení amyloidózy.
Po i. v. aplikaci 620 MBq 99mTc-DPD (butedronátu) (přípravek
TECEOS) jsme provedli scintigrafická vyšetření za 3 hodiny, vždy na hybridní tomografické kameře Symbia T2 Intevo firmy Siemens a to statickou scintigrafii hrudníku v přední a levé boční projekci, poté gatovanou tomografickou scintigrafii
(SPECT) myokardu.

/ Obr. č. 1: Statická scintigrafie hrudníku v přední a levé boční projekci. Vyšetření 3 hodiny po aplikaci radiofarmaka.
/
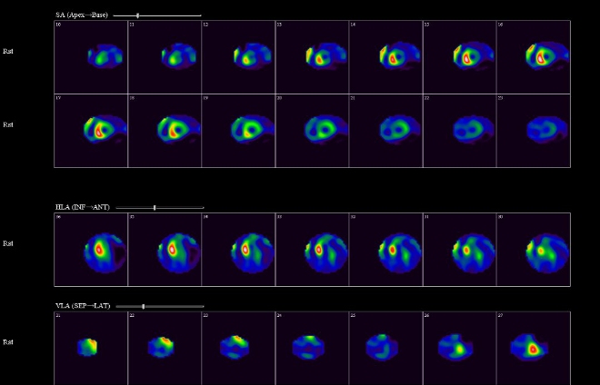
/ Obr. č. 2: Tomografická scintigrafie myokardu. /

/ Obr. č. 3: Tomografická scintigrafie myokardu. /
Prokazujeme zvýšenou depozici radiofarmaka v myokardu levé srdeční komory s maximem v oblasti septa, vyšší je depozice i v PK. Zvýšená depozice je vyšší než v žebrech - dle semikvantitavní škály jde o stupeň 3. Je vysoká EF LK kolem 70 %.
Závěr
Scintigrafií potvrzujeme transthyretinovou srdeční amyloidózu.
Pracoviště:
Fakultní nemocnice Ostrava
Klinika nukleární medicíny
přednosta: doc. MUDr. Martin Havel, Ph.D., MBA
17.listopadu 1790
708 52 Ostrava-Poruba
a Lékařská fakulta Ostravské univerzity
kontakt na autora:
otakar.kraft@fno.cz
<<
ZPĚT
|