KARDIOVASKULÁRNÍ SYSTÉM
- kazuistika
KAR-81 ze dne 30.07.2024
Srdeční amyloidóza
doc. MUDr. Otakar Kraft, Ph.D., MBA, MUDr. Pavel Širůček, Ph.D., doc. MUDr. Martin Havel, Ph.D., MBA
Klinika nukleární medicíny
FN Ostrava
Lékařská fakulta Ostravské univerzity
Kazuistika:
72letý muž s ICHS chron., stavem po IM, dysfunkcí LK, s EF LK 40-45 %, aneurysmatem hrotu LK, poruchou kinetiky septa a přední stěny.
Kardiologem byl odeslán ke scintigrafickému vyšetření k vyloučení amyloidózy.
Po i.v. aplikaci 600 MBq 99mTc-DPD (butedronátu) (přípravek TECEOS) jsme provedli scintigrafická vyšetření za 3 hodiny, vždy na hybridní tomografické kameře Symbia T2 Intevo firmy Siemens a to statickou scintigrafii hrudníku v přední a levé boční projekci, poté gatovanou tomografickou scintigrafii
(SPECT) myokardu.

/ Obr.č.1: Statická scintigrafie hrudníku v přední a levé boční projekci. Vyšetření 3 hodiny po aplikaci radiofarmaka.
/


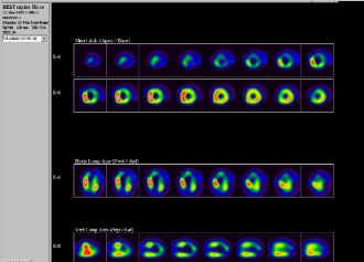
/ Obr. č. 2: Gatovaná tomografická scintigrafie myokardu. /
Prokazujeme výrazně zvýšenou depozici radiofarmaka v myokardu levé srdeční komory s maximem bazálně a převážně v oblasti septa, event. inferoseptálně. Zvýšená depozice je mnohem vyšší než v žebrech - dle semikvantitavní škály jde o stupeň 3. Je výrazně snížená EF LK 41 %.
Závěr
Scintigrafickým vyšetřením prokazujeme transthyretinovou srdeční amyloidózu.
Pracoviště:
Fakultní nemocnice Ostrava
Klinika nukleární medicíny
přednosta: doc. MUDr. Martin Havel, Ph.D., MBA
17. listopadu 1790
708 52 Ostrava-Poruba
a Lékařská fakulta Ostravské univerzity
kontakt na autora:
otakar.kraft@fno.cz, mailto:pavel.sirucek@fno.cz, mailto:martin.havel@fno.cz
<<
ZPĚT
|