ONKOLOGIE
- kazuistika
ONK-230 ze dne 30.12.2015
Generalizovaný karcinoid rekta s metastázami v játrech, presakrálně a v žebru
MUDr. Otakar Kraft,
Ph.D., MBA, MUDr. Pavel Širůček, Ph.D.
Klinika nukleární medicíny
FN Ostrava-Poruba
Lékařská fakulta Ostravské univerzity
Kazuistika:
65letý muž.
OA: Velmi těžký obstukční syndrom spánkové apnoe s AHI 55 a desaturacemi 41% pod 90% O2. Rhonchopatie, sekundární nadměrná denní spavost. Dna. Kombinovaná plicní insuficience - CHOPN II. Maligní obezita.
Arteriální hypertenze. Vertebrogenní algický syndrom bederní páteře.
NO: U pacienta byl opakovanou biopsií a následným histologickým vyšetřením odhalen dobře diferencovaný karcinoid rekta. Před dvěma roky podstoupil amputaci rekta sec. Miles, TNM: pT2pN1 20/1+ Mx – dle CT solitární ložisko v S7 jater velikosti asi 10 mm, nejasné etiologie. Ultrasonografie (USG): susp. meta ložisko v játrech velikosti asi 7 mm. Zvýšená hladina chromograninu A v séru a kyseliny hydroxyindoloctové (5HIOK) v moči.
Histologické vyšetření jaterního ložiska: karcinoid s nízkou mitotickou aktivitou.
Před devatenácti měsíci provedena scintigrafie Octreoscanem: bez patologického nálezu.
Před jedenácti měsíci USG jater: v pravém jaterním laloku ložisko 29x42 mm, hladina 5HIOK v normě.
Před devíti měsíci vyšetření magnetickou rezonancí břicha: mnohočetný ložiskový nález v játrech, počet nad 40, velikosti 3-26 mm, hypovaskulární, vs meta, zmnožené periportální lymfatické uzliny.
Bioptické vyšetření jaterních ložisek však nebylo provedeno, protože USG a vyšetřením CT nebyla ložiska v játrech patrná. Bylo doporučeno provést vyšetření PET/CT.
Před sedmi měsíci vyš. PET/CT: nález negativní, bez přítomnosti viabilní nádorové tkáně.
Před dvěma měsíci hladina 5HIOK v normě, ale dle USG opět patrna ložiska v játrech, největší asi 45 mm v průměru.
Pacient byl onkoložkou znovu odeslán ke kontrolnímu scintigrafickému vyšetření.
Scintigrafie Octreoscanem:
I. v. jsme aplikovali 220 MBq analogu somatostatinu značeného 111In
(přípravek OctreoScan firmy Mallinckrodt Medical). Po příslušné přípravě jsme provedli pomocí hybridní tomografické scintilační kamery Symbia T2 firmy Siemens opatřené kolimátory pro střední energie planární celotělovou scintigrafii za 4 hod.
(obr. 1) a za 28 hod. (obr. 9), navíc cílenou tomografickou scintigrafii (SPECT) hrudníku a břicha kombinovanou s CT za 4 hodiny
(obr. 2-8) a za 28 hodin (obr. 10).

/ Obr.1: Celotělová scintigrafie v přední a zadní projekci 4 hod. po aplikaci OctreoScanu.
/

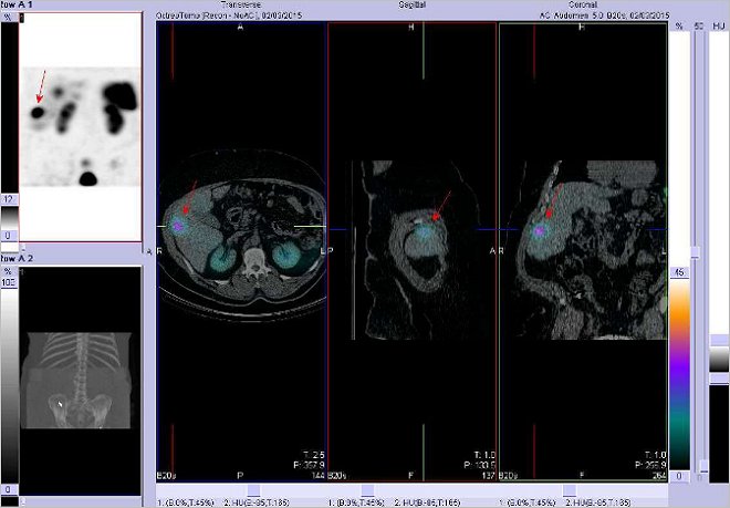
/ Obr.č.2: Fúze obrazů SPECT a CT. Zaměřeno na ložisko v pravém jaterním laloku. Řez transverzální, sagitální a koronární.
Vyšetření 4 hod. po aplikaci OctreoScanu. /

/ Obr.3: Fúze obrazů SPECT a CT. Zaměřeno na ložisko v pravém jaterním laloku. Řez transverzální, sagitální a koronární.
Vyšetření 4 hod. po aplikaci OctreoScanu. /

/ Obr. č. 4: Fúze obrazů SPECT a CT. Zaměřeno na ložisko v pravém jaterním laloku. Řez transverzální, sagitální a koronární.
Vyšetření 4 hod. po aplikaci OctreoScanu.
/

/ Obr. č. 5: Fúze obrazů SPECT a CT. Zaměřeno na ložisko v levém jaterním laloku. Řez transverzální, sagitální a koronární.
Vyšetření 4 hod. po aplikaci OctreoScanu.
/

/ Obr. č. 6: Fúze obrazů SPECT a CT. Zaměřeno na ložisko v levém jaterním laloku. Řez transverzální, sagitální a koronární.
Vyšetření 4 hod. po aplikaci OctreoScanu.
/

/ Obr. č. 7: Fúze obrazů SPECT a CT. Zaměřeno na ložisko uložené presakrálně vpravo. Řez transverzální, sagitální a koronární.
Vyšetření 4 hod. po aplikaci OctreoScanu. /

/ Obr. č. 8: Fúze obrazů SPECT a CT. Zaměřeno na aktivitu ve střevní kličce (nejedná se o patologický nález). Řez transverzální, sagitální a koronární.
Vyšetření 4 hod. po aplikaci OctreoScanu.
/

/ Obr. č. 9: Celotělová scintigrafie v přední a zadní projekci 28 hod. po aplikaci OctreoScanu.
/

/ Obr. č. 10: Fúze obrazů SPECT a CT. Zaměřeno na ložisko uložené ve 4. žebru vlevo dorzálně. Řez transverzální, sagitální a koronární.
Vyšetření 28 hod. po aplikaci OctreoScanu.
/
Pozorujeme vícečetná patologická ložiska zvýšené depozice radiofarmaka v játrech (nejméně pět ložisek v pravém a dvě ložiska v levém jaterním laloku), presakrálně vpravo v úrovni S1, ve 4. žebru vlevo dorzálně. Závěr: nález svědčí pro přítomnost vícečetných patologických ložisek se zvýšenou denzitou somatostatinových receptorů v oblasti jater, presakrálně vpravo v úrovni S1, ve 4. žebru vlevo dorzálně.
Závěr:
U pacienta bylo jednou scintigrafické vyšetření Octreoscanem negativní. Při druhém vyšetření devatenáct měsíců po prvním vyšetření byla potvrzena generalizace karcinoidu rekta do jater, presakrálně a do žebra.
Pracoviště:
Fakultní nemocnice Ostrava
Klinika nukleární medicíny
přednosta: MUDr. Otakar Kraft, Ph.D., MBA
17.listopadu 1790
708 52 Ostrava-Poruba
a Lékařská fakulta Ostravské univerzity
kontakt na autory:
otakar.kraft@fno.cz, pavel.sirucek@fno.cz
<<
ZPĚT
|