ONKOLOGIE
- kazuistika
ONK-265 ze dne 23.05.2018
Karcinoid ilea a céka s metastázou v játrech a uzlinách, stav po operaci primárního nádoru, následná recidiva
doc. MUDr. Otakar Kraft,
Ph.D., MBA
Klinika nukleární medicíny
FN Ostrava
Kazuistika:
Bližší údaje – kazuistika ONK-231 a ONK-247.
U 69leté ženy byla peroperačně zjištěna jaterní metastáza. Histologicky se jednalo o metastázu karcinoidu. Dále byla prokázána nádorová infiltrace terminálního ilea a céka v délce cca 12 cm s četnými metastázami v břišních uzlinách.
Nemocná byla chirurgem odeslána ke scintigrafickému vyšetření.
Scintigrafie Octreoscanem:
I. v. jsme aplikovali 220 MBq analogu somatostatinu značeného 111In
(přípravek OctreoScan firmy Mallinckrodt Medical) a provedli pomocí hybridní tomografické scintilační kamery Symbia T2 firmy Siemens opatřené kolimátory pro střední energie planární celotělovou scintigrafii a cílenou tomografickou scintigrafii (SPECT) břicha a pánve kombinovanou s CT
(obr. 1).

/ Obr.1: Celotělová scintigrafie v přední a zadní projekci a fúze SPECT/CT 24 hod. po aplikaci OctreoScanu. Zaměřeno na ložiska v pravém mesogastriu.
/
Prokázali jsme dvě splývající patologická ložiska zvýšené depozice radioaktivity v pravém mesogastriu promítající se do střev. Nález svědčí pro přítomnost tkáně se zvýšenou hustotou somatostatinových receptorů, v tomto případě jde zřejmě o primární tumor, karcinoid.
Provedena paliativní pravostranná hemikolektomie.
Histologické vyšetření: primární tumor: cékum délky 8 cm, šíře 1,5 cm, ve vzdálenosti 4,5 cm od aborální resekční plochy je přítomno přisedlé polypovité ložisko velikosti 0,5x0,2x0,3 cm. Neuroendokrinní tumor dobře diferencovaný G1 pT2 pN1 M1 (játra).
Lymf. uzliny: počet vyšetřených mízních uzlin/počet metastáz: 10/ 1. Dále ve vzorcích satelity nádorové tkáně v přilehlém tukovém vazivu. Tumor neuroendokrinní G1 metastáza.
Pacientka byla onkologem odeslána k opakovanému scintigrafickému vyšetření ke zjištění, zda je ještě přítomem zbytkový tumor.
Scintigrafie Octreoscanem:
I. v. jsme aplikovali 220 MBq analogu somatostatinu značeného 111In
(přípravek OctreoScan firmy Mallinckrodt Medical). Po příslušné přípravě jsme provedli pomocí hybridní tomografické scintilační kamery Symbia T2 firmy Siemens opatřené kolimátory pro střední energie planární celotělovou scintigrafii za 4 hod.
(obr. 2) a za 24 hod.

/ Obr.č.2: Celotělová scintigrafie v přední a zadní projekci a fúze SPECT/CT 4 hod. po aplikaci OctreoScanu. Zaměřeno na pravé mesogastrium.
/
Závěr: neprokazujeme žádná patologická ložiska svědčící pro přítomnost tkáně se zvýšenou hustotou somatostatinových receptorů. Po provedené operaci tedy již neprokazujeme patologické ložisko v pravém mesogastriu promítající se do střev patrné při předchozím scintigrafickém vyšetření před padesáti dny.
Další scintigrafické vyšetření Octeroscanem provedeno pět měsíců po druhém vyšetření. Nález byl opět negativní, bez průkazu patologických ložisek.
Nemocná byla chirurgem odeslána ke čtvrtému scintigrafickému vyšetření 12 měsíců po třetím vyšetření (20 měsíců po prvním vyšetření, které bylo provedeno předoperačně). Chirurg svůj požadavek na vyšetření zdůvodnil nárůstem hladiny kyseliny 5-hydroxyindoloctové v moči (70,6 umol/l, norma do 47,1) a chromograninu A v séru (191 ng/ml, norma do 98).
Scintigrafie Octreoscanem:
I. v. jsme aplikovali 190 MBq analogu somatostatinu značeného 111In
(přípravek OctreoScan firmy Mallinckrodt Medical) a provedli pomocí hybridní tomografické scintilační kamery Symbia Intevo firmy Siemens opatřené kolimátory pro střední energie planární celotělovou scintigrafii cílenou tomografickou scintigrafii (SPECT) břicha a pánve a hrudníku kombinovanou s CT
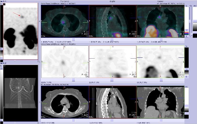
(obr. 3 - 8).

/ Obr.3: Celotělová scintigrafie v přední a zadní projekci 5 hod. po aplikaci OctreoScanu. Dvojí modulace obrazu.
/

/ Obr. č. 4: Celotělová scintigrafie v přední a zadní projekci a fúze SPECT/CT 5 hod. po aplikaci OctreoScanu. Zaměřeno na pravé mesogastrium.
/

/ Obr. č. 5: Celotělová scintigrafie v přední a zadní projekci a fúze SPECT/CT 24 hod. po aplikaci OctreoScanu. Zaměřeno na ložisko v hrudníku těsně vpravo od střední čáry.
/

/ Obr. č. 6: Fúze SPECT/CT 24 hod. po aplikaci OctreoScanu. Zaměřeno na jedno ze dvou ložisek v pravém mesogastriu.
/

/ Obr. č. 7: Fúze SPECT/CT 24 hod. po aplikaci OctreoScanu. Zaměřeno na druhé ložisko v pravém mesogastriu.
/

/ Obr. č. 8: Fúze SPECT/CT 24 hod. po aplikaci OctreoScanu. Zaměřeno na ložisko v hrudníku těsně vpravo od střední čáry.
/
Prokazujeme patologické ložiskové léze se zvýšenou hustotou somatostatinových receptorů v hrudníku (jedna lymfatická uzlina pretracheálně) a v břichu (dvě lymfatické uzliny v mesenteriu nebo podél a. ileocolica). Ve srovnání s předchozím scintigrafickým vyšetřením je tento patologický nález nový.
CT vyšetření hrudníku a břicha: uzlina pretracheálně vpravo těsně nad bifurkací trachey velikosti 21x15 mm. Nadklíčky a axilly bpn.
Plíce rozvinuté, dorzobazálně vlevo drobná emfyzematozní bula, plíce bez infiltrace, bez ložiskových změn. Játra nezvětšena, struktura pravidelná, ložiskové změny nezjištěny, porta i jaterní žíly bpn. Stp. CHCE, žlučové cesty bpn. Slezina a pankreas nezvětšeny, bez ložiskových změn. Nadledviny bpn. Ledviny v obvyklé poloze, normální konfigurace, bez městnání v KPS. Paraaortální uzliny nezvětšeny. Drobné uzliny v mezenteriu vpravo velikosti max. 13x11 mm a 11x6 mm, další drobné uzliny v této oblasti vel. do 6 mm.
Závěr:
Po přechodném negativním scintigrafickém nálezu při dvou vyšetřeních zjišťujeme znovu patologická ložiska se zvýšenou hustotou somatostatinových receptorů ve dvou lymfatických uzlinách v břiše a jedné uzlině v hrudníku pretracheálně.
Pracoviště:
Klinika nukleární medicíny FN Ostrava
přednosta: doc. MUDr. Otakar Kraft, Ph.D., MBA
17. listopadu 1790
708 52 Ostrava-Poruba
kontakt na autora:
otakar.kraft@fno.cz
<<
ZPĚT
|