ONKOLOGIE
- kazuistika
ONK-309 ze dne 30.07.2020
Neuroendokrinní tumor plíce s uzlinovými, kostními a plicní metastázou, susp. ve štítné žláze, progrese
doc. MUDr. Otakar Kraft, Ph.D., MBA, MUDr. Martin Havel, Ph.D.
Klinika nukleární medicíny
FN Ostrava
Lékařská fakulta Ostravské univerzity
Kazuistika:
Bližší údaje v kazuistice ONK–301.
NO: nyní 50letá žena prodělala v červenci 2017 lobektomii horního laloku pravé plíce pro typický neuroendokrinní nádor G1, Ki67 15-20 %, s pozitivními uzlinami, pT1bN2Mx.
1,5 měsíce po proběhlé operaci odeslala pacientku onkoložka ke scintigrafickému vyšetření.
Scintigrafie Octreoscanem:
I. v. jsme aplikovali 190 MBq analogu somatostatinu značeného 111In
(přípravek OctreoScan firmy Mallinckrodt Medical) a provedli pomocí hybridní tomografické scintilační kamery Symbia Intevo firmy Siemens opatřené kolimátory pro střední energie planární celotělovou scintigrafii a cílenou tomografickou scintigrafii (SPECT) hrudníku, břicha a pánve kombinovanou s CT
(obr. 1-2).

/ Obr. č. 1: Fúze obrazů SPECT a CT. Zaměřeno na ložisko v proximální části levého humeru. Vyšetření 24 hod. po aplikaci OctreoScanu.
/

/ Obr. č. 2: Fúze obrazů SPECT a CT. Zaměřeno na ložisko v pravé kosti kyčelní. Vyšetření 24 hod. po aplikaci OctreoScanu.
/
Závěr:
Prokazujeme kostní metastázy v proximální části levé pažní kosti, v pravé kosti kyčelní, atypický nález v solitárním pravém laloku štítné žlázy (stav po levostranné lobektomii).
Nasazena adjuvantní onkologická léčba, dochází však k elevaci hladiny chromograninu v séru.
16 měsíců po prvním vyšetření byla nemocná onkoložkou odeslána ke kontrolnímu vyšetření.
Scintigrafie Octreoscanem:
I. v. jsme aplikovali 190 MBq analogu somatostatinu značeného 111In
(přípravek OctreoScan firmy Mallinckrodt Medical) a provedli pomocí hybridní tomografické scintilační kamery Symbia Intevo firmy Siemens opatřené kolimátory pro střední energie planární celotělovou scintigrafii a cílenou tomografickou scintigrafii (SPECT) hrudníku, břicha a pánve kombinovanou s CT
(obr. 3-8).

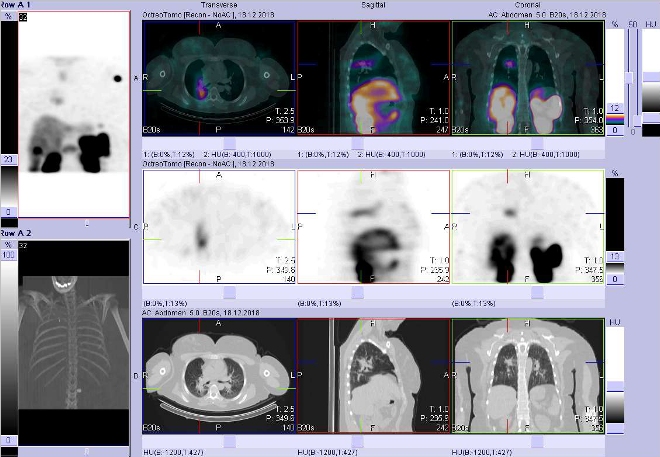
/ Obr. č. 3: Celotělová scintigrafie v přední a zadní projekci a fúze obrazů SPECT a
CT.
Zaměřeno na ložisko v proximální části levého humeru a ložisko v pravé plíci dorzálně. Vyšetření 5hod. po aplikaci OctreoScanu.
/

/ Obr. č. 4: Celotělová scintigrafie v přední a zadní projekci a fúze obrazů SPECT a
CT.
Zaměřeno na ložisko v jednom levostranném žebru ventrolaterálně a ložisko v pravém laloku štítné žlázy. Vyšetření 24 hod. po aplikaci OctreoScanu.
/

/ Obr. č. 5: Fúze obrazů SPECT a CT. Zaměřeno na ložisko v pravé plíci dorzálně. Vyšetření 24 hod. po aplikaci OctreoScanu.
/

/ Obr. č. 6: Fúze obrazů SPECT a CT. Zaměřeno na ložisko v proximální části levého humeru. Vyšetření 24 hod. po aplikaci OctreoScanu.
/

/ Obr. č. 7: Fúze obrazů SPECT a CT. Zaměřeno na ložisko v lopatě kosti kyčelní vpravo. Vyšetření 24 hod. po aplikaci OctreoScanu.
/

/ Obr. č. 8: Fúze obrazů SPECT a CT. Zaměřeno na ložisko v levé kosti sedací. Vyšetření 24 hod. po aplikaci OctreoScanu.
/
Závěr: mnohočetná patologická ložisko se zvýšenou hustotou somatostatinových receptorů na krku vpravo v těsném kontaktu s laryngotracheálním přechodem nejspíše v pravém laloku štítné žlázy, v hlavici levé kosti pažní, v pravé plíci dorzálně, v jednom levostranném žebru ventrolaterálně, v lopatě kosti kyčelní vpravo, v levé kosti sedací.
Nález svědčí pro metastázy neuroendokrinního tumoru. Ve srovnání s vyšetřením před 16 měsíci progrese nálezu.
Závěr:
Při opakovaném scintigrafickém vyšetření prokazujeme progresi kostních a plicní metastázy, patologický je nález nejspíše v pravém laloku štítné žlázy.
Pracoviště:
Fakultní nemocnice Ostrava
Klinika nukleární medicíny
přednosta: doc. MUDr. Otakar Kraft, Ph.D., MBA
17.listopadu 1790
708 52 Ostrava-Poruba
a Lékařská fakulta Ostravské univerzity
kontakt na autory:
otakar.kraft@fno.cz, martin.havel@fno.cz
<<
ZPĚT
|