ONKOLOGIE
- kazuistika
ONK-342 ze dne 09.11.2021
Karcinoid tlustého střeva s metastázami v játrech, uzlinách, mezenteriu
doc. MUDr. Otakar
Kraft, Ph.D., MBA
Klinika nukleární medicíny
FN Ostrava
Lékařská fakulta Ostravské univerzity
Kazuistika
NO: 74letý muž, u něhož byla před 12 roky provedena pravostranná hemikolektomie (ileocekální resekce) pro karcinoid.
Na CT opakovaně již čtyři roky prokazována stacionární mnohočetná jaterní ložiska, zvětšená uzlina parakaválně.
Poslední dva roky akcentace subjektivních obtíží, průjmy, flush syndrom.
Nemocný byl odeslán onkoložkou ke scintigrafickému vyšetření, uvažováno o nasazení Somatulinu.
Scintigrafie Octreoscanem
Pomocí dvoudetektorové hybridní tomografické kamery Symbia T2 (SPECT/CT) firmy Siemens opatřené kolimátory pro střední energie jsme provedli celotělovou scintigrafii a také cílenou tomografickou scintigrafii (SPECT) a CT a fúzi obrazů SPECT/CT hrudníku, břicha a pánve za 4 hod. a 24 hod.
(obr. 1-7) po i.v. podání 190 MBq analogu somatostatinu značeného
111In (přípravek OctreoScan firmy Mallinckrodt Medical).

/ Obr. č. 1: Celotělová scintigrafie v přední a zadní projekci. Vyšetření 4 hod. (vlevo) a 24 hod. (vpravo) po aplikaci radioindikátoru.
/

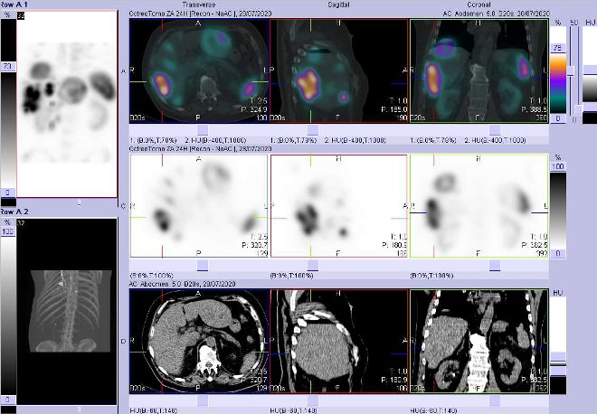
/ Obr. č. 2: Celotělová scintigrafie a fúze obrazů SPECT a CT – vyšetření 4 hod. po aplikaci radiofarmaka. Zaměřeno na velké ložisko v levém jaterním laloku.
/

/ Obr. č. 3: Celotělová scintigrafie a fúze obrazů SPECT a CT – vyšetření 4 hod. po aplikaci radiofarmaka. Zaměřeno na ložisko ve ventrální části jater v blízkosti pomezí pravého a levého laloku.
/

/ Obr. č. 4: Celotělová scintigrafie a fúze obrazů SPECT a CT – vyšetření 4 hod. po aplikaci radiofarmaka. Zaměřeno na ložisko v dorzální části pravého jaterního laloku.
/

/ Obr. č. 5: Fúze obrazů SPECT a CT – vyšetření 4 hod. po aplikaci radiofarmaka. Zaměřeno na uzlinu periportální.
/

/ Obr. č. 6: Fúze obrazů SPECT a CT – vyšetření 4 hod. po aplikaci radiofarmaka. Zaměřeno na uzlinu periportální.
/

/ Obr. č. 7: Fúze obrazů SPECT a CT – vyšetření 24 hod. po aplikaci radiofarmaka. Zaměřeno na ložisko v dorzolaterální části pravého jaterního laloku.
/
Závěr: mnohočetná patologická ložiska se zvýšenou denzitou somatostatinových receptorů v játrech (největší v levém laloku s centrálním rozpadem velikosti až 10 cm), uzlinách periportálně, retroperitoneálně suprarenálně, na mezenteriu. Zřejmě nespecifický nález v blízkosti levého akromioklavikulárního skloubení spíše zánětlivého původu.
Závěr:
U 74etého muže s karcinoidem tlustého střeva prokazujeme mnohočetné metastázy v játrech, uzlinách. Onkoložka poté nasadila léčbu Somatulinem.
Pracoviště:
Fakultní nemocnice Ostrava
Klinika nukleární medicíny
přednosta: doc. MUDr. Otakar Kraft, Ph.D., MBA
17. listopadu 1790
708 52 Ostrava-Poruba
a Lékařská fakulta Ostravské univerzity
kontakt na autora:
otakar.kraft@fno.cz
<<
ZPĚT
|