ONKOLOGIE
- kazuistika
ONK-355 ze dne 08.12.2022
Mnohočetné metastázy neuroendokrinního tumoru neznámé primární lokalizace
doc. MUDr. Otakar Kraft, Ph.D., MBA
Klinika nukleární medicíny
FN Ostrava
Lékařská fakulta Ostravské univerzity
Kazuistika:
66letá žena.
Před měsícem provedena screeningová mamografie: vpravo v HVK nově drobné ložisko 6x7 mm. Vlevo bez patologických změn.
USG prsů: vpravo v HVK nepravidelné hypoechogenní ložisko s hyperechogenním lemem velikosti 9x9x8 mm – tumor mammae l.dx.
Na základě patologického nálezu na mamografii a USG provedena core cut biopsie z pravého prsu s odběrem čtyř vzorků tkáně k histologickému vyšetření.
Histologické vyšetření odebraných vzorků z pravého prsu: proužky tkáně se strukturami invazivního duktálního karcinomu.
Imunohistochemické vyšetření: GATA 3 negativní, E-cadherin pozitivní, Ki67 60 %, estrogen negativní, progesteron 60 %, HER/2-neu negativní, TTF1 nukleárně pozitivní, synaptofyzin pozitivní, chromogranin pozitivní.
Vzhledem k expresi neuroendokrinních markerů a progesteronových receptorů se zřejmě jedná o invazivní karcinom NST s neuroendokrinní diferenciací. Nelze však s úplnou jistotou vyloučit metastatický původ s primárním origem v plicích, protože nukleární exprese TTF1 je spojována dle literárních zdrojů pouze s 2,4 % primárních karcinomů mléčné žlázy. Doporučeno pacientku dovyšetřit scintigraficky.
Vzhledem k těmto skutečnostem byla nemocná odeslána chiruržkou a onkoložkou ke scintigrafickému vyšetření k zhodnocení rozsahu postižení, je pátráno po primárním tumoru.
Scintigrafie Octreoscanem:
I. v. jsme aplikovali 190 MBq analogu somatostatinu značeného 111In
(přípravek OctreoScan firmy Mallinckrodt Medical). Provedli jsme pomocí hybridní tomografické scintilační kamery Symbia T2 firmy Siemens opatřené kolimátory pro střední energie planární celotělovou scintigrafii za 4 a za 24 hod., navíc cílenou tomografickou scintigrafii (SPECT) krku, hrudníku, břicha a pánve kombinovanou s CT za 4 a 24 hodin
(obr. 1-15).

/ Obr. č. 1: Celotělová scintigrafie v přední a zadní projekci 4 a 24 hod. po aplikaci OctreoScanu.
/

/ Obr. č.
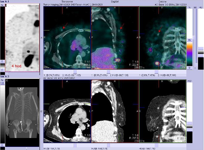
2: Celotělová scintigrafie v přední a zadní projekci a fúze SPECT/CT 4 hod. po aplikaci OctreoScanu. Zaměřeno na ložisko v mediastinu.
/

/ Obr. č. 3: Fúze obrazů SPECT a CT. Zaměřeno na ložisko v podkoží. Vyšetření 4 hod. po aplikaci OctreoScanu.
/

/ Obr. č. 4: Fúze obrazů SPECT a CT. Zaměřeno na ložisko v mediastinu. Vyšetření 4 hod. po aplikaci OctreoScanu.
/

/ Obr. č. 5: Fúze obrazů SPECT a CT. Zaměřeno na ložisko v podkoží. Vyšetření 4 hod. po aplikaci OctreoScanu.
/

/ Obr. č. 6: Fúze obrazů SPECT a CT. Zaměřeno na ložisko v podkoží. Vyšetření 4 hod. po aplikaci OctreoScanu.
/

/ Obr. č. 7: Fúze obrazů SPECT a CT. Zaměřeno na ložisko v podkoží. Vyšetření 4 hod. po aplikaci OctreoScanu.
/

/ Obr. č. 8: Fúze obrazů SPECT a CT. Zaměřeno na ložisko v blízkosti pankreatu Vyšetření 4 hod. po aplikaci OctreoScanu.
/

/ Obr. č. 9: Fúze obrazů SPECT a CT. Zaměřeno na ložisko lumbálně vlevo. Vyšetření 4 hod. po aplikaci OctreoScanu.
/

/ Obr. č. 10: Fúze obrazů SPECT a CT. Zaměřeno na ložisko v podkoží. Vyšetření 4 hod. po aplikaci OctreoScanu.
/

/ Obr. č. 11: Fúze obrazů SPECT a CT. Zaměřeno na jen velmi málo akumulující ložisko v pravém prsu. Vyšetření 4 hod. po aplikaci OctreoScanu.
/

/ Obr. č. 12: Fúze obrazů SPECT a CT. Zaměřeno na ložisko v pravém laloku štítné žlázy. Vyšetření 24 hod. po aplikaci OctreoScanu.
/

/ Obr. č. 13: Fúze obrazů SPECT a CT. Zaměřeno na ložisko v pravém plicním hilu. Vyšetření 24 hod. po aplikaci OctreoScanu.
/

/ Obr. č. 14: Fúze obrazů SPECT a CT. Zaměřeno na ložisko v blízkosti pankreatu. Vyšetření 24 hod. po aplikaci OctreoScanu.
/

/ Obr. č. 15: Fúze obrazů SPECT a CT. Zaměřeno na ložisko v podkoží Vyšetření 24 hod. po aplikaci OctreoScanu.
/
Závěr: mnohočetná patologická ložiska se zvýšenou denzitou somatostatinových receptorů – největší a nejnápadnější je v mediastinu vpravo velikosti cca 4,5x4,5x4,8 cm, dále v pravém plicním hilu, pravém laloku štítné žlázy, zřejmě v uzlině v blízkosti pankreatu, mnohočetná podkožní ložiska na hrudníku, břiše, na zádech, ve zvětšené pravé nadledvině, v pánvi vlevo za psoatem, susp. v pravém jaterním laloku. Drobné ložisko v pravém prsu je patrné na ldCT, akumulace radiofarmaka jen nepatrná. Nález svědčí pro mnohočetné metastázy NET. Primární tumor v mediastinu? v plicích? jinde?
Závěr:
U pacientky byla vyšetřením Octreoscanem potvrzena generalizace neuroendokrinního nádoru. Nadále zůstává neznámá lokalizace primárního nádoru.
Pracoviště:
Fakultní nemocnice Ostrava
Klinika nukleární medicíny
přednosta: doc. MUDr. Otakar Kraft, Ph.D., MBA
17.listopadu 1790
708 52 Ostrava-Poruba
Lékařská fakulta Ostravské univerzity
kontakt na autora:
otakar.kraft@fno.cz
<<
ZPĚT
|