ONKOLOGIE
- kazuistika
ONK-358 ze dne 31.03.2023
Mnohočetná ložiska neuroendokrinního tumoru v játrech
doc. MUDr. Otakar
Kraft, Ph.D., MBA
Klinika nukleární medicíny
FN Ostrava
Lékařská fakulta Ostravské univerzity
Kazuistika
NO:
44letý muž - vyšetřen pro problémy se zažíváním (pálení žáhy, průjem, bolesti břicha, zhubl asi 12-15 kg během 2 měsíců).
Koloskopické vyšetření:
Ré: Úplná koloskopie s negativním nálezem
Gastroskopické vyšetření:
Ré: Vnější útlak bulbu duodena a antra žaludku, jinak horní GIT bez patologie.
CT vyšetření krku, hrudníku, břicha, pánve:
Ložisko 14x14mm v parakardialním tuku nad bránicí vpravo.
Játra zvětšena, v MCL 24 cm, přim. denzity, arteriálně mnohočetné periferně hypervaskularizované ložiskové léze s centrální cystickou/nekrotickou častí, největší v S4 vel. 8x13 cm. Portovenózně izodenzní. Portální řečiště bez dilatace. Žlučovody jsou jemné, žlučník tenkostěnný, bez kontrastní litiazy. Pankreas ohraničen, pravidelné struktury.
Slezina nezvětšena, centrálně s hypervaskularizovaným ložiskem, portovenózně izodenzním vel. 12x9 mm. Nadledviny nezvětšeny. Ledviny ve správné výši, přiměřeného tvaru a velikosti, bez ložiskových změn. Vývodné cesty močové nerozšířené. M. měchýř naplněn, hladkých nerozšířených stěn. Paraaortokavální ani pánevní LU nezvětšeny. ´
Gastroduodenum, tenké kličky a tračník bez zjevné patologie.
Volná tekutina v dutině břišní nezjištěna.
Závěr: mnohočetné ložiskové léze jater - v dif. dg. více pravděpodobné prim. TU (HCC), meta méně pravděpodobné
- hypervaskularizovaná léze sleziny - dif. dg hemangiom, meta
- drobné ložisko v perikardiálním tuku nad bránicí vpravo - dif. dg meta
Biopsie pod CT kontrolou:
Válečky jaterní tkáně prostoupené tubuly, hnízdy, solidními ložisky buněk polygonálního tvaru s pozitivní expresí SYN, NSE, CHROM, CD56, CK19, BER, CK8, negativní pTF1, Napsin, GATA3, PR, ER, CK7, CEA, p53, EMA, CDX2, HCG, HEP, AFP, CK20, v PAS nevýrazně, ŽB negativní. V Ki67 1%
Nález hodnotím jako neuroendokrinní tumor NOS. Nelze zhodnotit, zda primární či sekundární.
Před nasazením léčby somatostatinovými analogy odeslán onkoložkou ke scintigrafickému vyšetření.
Scintigrafie Octreoscanem:
Pomocí dvoudetektorové hybridní tomografické kamery Symbia T2 (SPECT/CT) firmy Siemens opatřené kolimátory pro střední energie jsme provedli celotělovou scintigrafii a také cílenou tomografickou scintigrafii (SPECT) a CT a fúzi obrazů SPECT/CT břicha a pánve za 4 a 24 hod.
(obr. 1-7) po i.v. podání 220 MBq analogu somatostatinu značeného
111In (přípravek OctreoScan firmy Mallinckrodt Medical).

/ Obr. č. 1: Celotělová scintigrafie v přední a zadní projekci. Vyšetření 4 hod. (vlevo) a 24 hod. (vpravo) po aplikaci radioindikátoru.
/

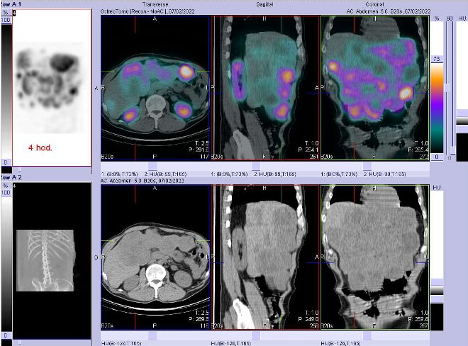
/ Obr. č. 2: Fúze obrazů SPECT a CT – vyšetření 4 hod. po aplikaci radiofarmaka. Zaměřeno na ložisko v pravém jaterním laloku.
/

/ Obr. č. 3: Fúze obrazů SPECT a CT – vyšetření 4 hod. po aplikaci radiofarmaka. Zaměřeno na ložisko v pravém jaterním laloku.
/

/ Obr. č. 4: Fúze obrazů SPECT a CT – vyšetření 4 hod. po aplikaci radiofarmaka. Zaměřeno na ložisko v pravém jaterním laloku.
/

/ Obr. č. 5: Fúze obrazů SPECT a CT – vyšetření 24 hod. po aplikaci radiofarmaka. Zaměřeno na ložisko v levém jaterním laloku.
/

/ Obr. č. 6: Fúze obrazů SPECT a CT – vyšetření 24 hod. po aplikaci radiofarmaka. Zaměřeno na ložisko v pravém jaterním laloku.
/

/ Obr. č. 7: Fúze obrazů SPECT a CT – vyšetření 24 hod. po aplikaci radiofarmaka. Zaměřeno na ložisko v pravém jaterním laloku.
/
Závěr: Za 4 a 24 hod. jsou patrná mnohočetná různě velká patologická ložiska vyšší depozice radiofarmaka nepravidelného tvaru v játrech a navíc mnohá ložiska naopak s defektem v depozici radioaktivity
- zřejmě tedy nekrotická. Játra jsou enormně zvětšená, abnormálního tvaru, největší vertikální rozměr 26 cm, dolním okrajem zasahují až do pravého hypogastria a k úrovni pravé kosti kyčelní.
Závěr: obrovská játra s mnohočetnými různě velkými ložisky nepravidelného tvaru jak se zvýšenou depozicí radiofarmaka, tak naopak s defekty v depozici
- s nekrózami. Nález svědčí pro mnohočetná ložiska se zvýšenou denzitou somatostatinových receptorů
- pro ložiska neuroendokrinního tumoru.
Na základě výsledku scintigrafického vyšetření byla u pacienta s vyjádřeným karcinoidovým syndromem (flash, zhoršující se po alkoholu, kořeněném jídle, bolestmi břicha, pocitem netrávení, průjmy) zahájena léčba somatostatinovými analogy (Somatuline Autogel 120 mg s.c.).
Závěr:
U 44letého muže prokazujeme mnohočetná ložiska neuroendokrinního nádoru v játrech. Primární ložisko zůstává nadále neznámé.
Pracoviště:
Fakultní nemocnice Ostrava
Klinika nukleární medicíny
přednosta: doc. MUDr. Otakar Kraft, Ph.D., MBA
17. listopadu 1790
708 52 Ostrava-Poruba
a Lékařská fakulta Ostravské univerzity
kontakt na autora:
otakar.kraft@fno.cz
<<
ZPĚT
|