ONKOLOGIE
- kazuistika
ONK-383 ze dne 04.03.2025
Neuroendokrinní nádor sestupného tračníku
doc. MUDr. Otakar
Kraft, Ph.D., MBA
Klinika nukleární medicíny
FN Ostrava
Lékařská fakulta Ostravské univerzity
Kazuistika
61letá žena, u níž byla před rokem provedena levostranná hemikolektomie pro neuroendokrinní tumor (NET) bez postižení lymfatických uzlin. Dle vyšetření PET/CT histologické vyšetření: NET G2, tumor velikosti 30x20 mm, jsou metabolicky aktivní uzliny retroperitoneálně a podél levé ilické tepny. Proto před měsícem prodělala laparotomickou revizi s nálezem paketu uzlin retroperitoneálně vlevo od aorty, technicky nebyla možná kompletní exstirpace paketu, proto resekována pouze cca polovina paketu. Histologicky uzavřeno jako NET.
Odeslána chirurgem k došetření.
Scintigrafie Octreoscanem
I. v. jsme aplikovali 190 MBq analogu somatostatinu značeného 111In
(přípravek OctreoScan firmy Curium Netherlands B.V.) a provedli za 4 a 24 hodin pomocí hybridní tomografické scintilační kamery Symbia T2 firmy Siemens opatřené kolimátory pro střední energie planární celotělovou scintigrafii a cílenou tomografickou scintigrafii (SPECT) břicha a pánve kombinovanou s CT
(obr. 1-3).

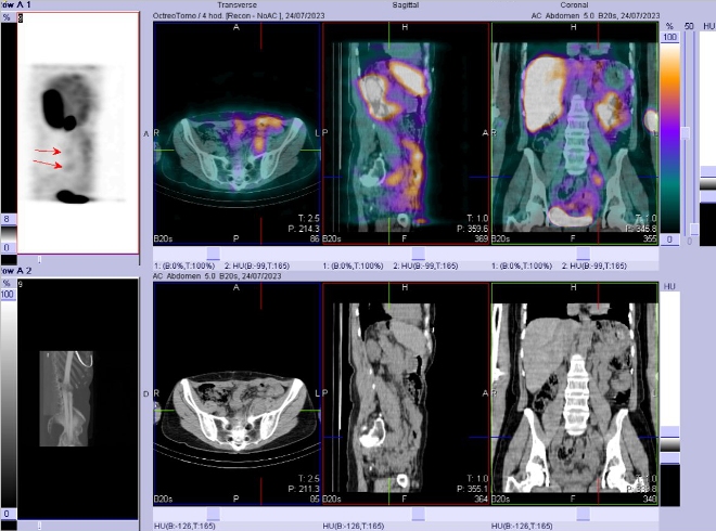
/ Obr. č. 1: Celotělová scintigrafie v přední a zadní projekci a SPECT/CT břicha a pánve 4 hod. po aplikaci OctreoScanu./
/ Obr. č. 2: SPECT/CT břicha a pánve 4 hod. po aplikaci OctreoScanu.
/

/ Obr. č. 3: Celotělová scintigrafie v přední a zadní projekci a SPECT/CT břicha a pánve 24 hod. po aplikaci OctreoScanu.
/
Pozorujeme patologicky zvýšenou depozici radiofarmaka:
- málo kontrastně ve většině LU formujících paket v retroperitoneu paraaortálně vlevo až podél ilického svazku v pánvi vlevo (největší LU podél a. iliaca externa vel. 25x26 mm). Ojedinělé uzliny z tohoto paketu jsou bez zvýšené depozice radiofarmaka
- mírně pruhovitě v jizvě po laparotomii - v. s. hojivé změny.
Akumulace v játrech, žlučníku, ledvinách, močovém měchýři a střevních kličkách představuje fyziologickou distribuci.
Závěr:
U 61leté ženy s neuroendokrinním tumorem sestupného tračníku jsme scintigraficky prokázali zvýšenou denzitu somatostatinových receptorů ve většině paketujících LU v retroperitoneu paraaortálně vlevo a podél ilického svazku v pánvi vlevo - odpovídá přítomnosti nádorové tkáně (NET), nález relativně málo kontrastní, menší část uzlin s nízkou/bez zvýšené akumulace radiofarmaka.
Pracoviště:
Fakultní nemocnice Ostrava
Klinika nukleární medicíny
přednosta: doc. MUDr. Martin Havel, Ph.D., MBA
17.listopadu 1790
708 52 Ostrava-Poruba
a Lékařská fakulta Ostravské univerzity
kontakt na autora:
otakar.kraft@fno.cz
<<
ZPĚT
|