ONKOLOGIE
- kazuistika
ONK-394 ze dne 05.02.2026
Neuroendokrinní tumor tenkého střeva s postižením jater, mezenteria a peritonea
doc. MUDr. Otakar
Kraft, Ph.D., MBA,
Klinika nukleární medicíny
FN Ostrava
Lékařská fakulta Ostravské univerzity
Kazuistika:
61letý muž, u něhož byla před pěti roky provedena pravostranná hemikolektomie, ileotransverzoanastomóza end to side se zjištěním neuroendokrinního tumoru G2 tenkého střeva s postižením uzlin, omenta, s karcinomatózou peritonea pT4pnN1pM1.
Poté za 2 měsíce bylo provedeno vyšetření pomocí Octreoscanu u nás se sporným, nespecifickým nálezem s nízkou akumulací radiofarmaka v lymfatické uzlině při ilickém svazku a se zmnoženými mezenteriálními uzlinami bez zvýšené depozice okreotidu.
Byl znovu odeslán onkoložkou ke scintigrafickému vyšetření pro podezření na progresi.
Výrazně zvýšená hladina chromograninu v séru.
Scintigrafie Octreoscanem:
I. v. jsme aplikovali 190 MBq analogu somatostatinu značeného 111In
(přípravek OctreoScan firmy Curium Netherlands B. V.) a provedli pomocí hybridní tomografické scintilační kamery Symbia Pro.specta X7 firmy Siemens opatřené kolimátory pro střední energie planární celotělovou scintigrafii a cílenou tomografickou scintigrafii (SPECT) břicha a pánve s ldCT za 4 a 24 hod.

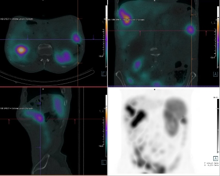
/ Obr. č. 1: Celotělová scintigrafie 4 hod. po aplikaci OctreoScanu.
/

/ Obr. č.
2: Fúze SPECT/CT břicha a pánve 4 hod. po aplikaci OctreoScanu.
/

/ Obr. č. 3: Fúze SPECT/CT břicha a pánve 4 hod. po aplikaci OctreoScanu.
/

/ Obr. č. 4: Fúze SPECT/CT břicha a pánve 4 hod. po aplikaci OctreoScanu.
/

/ Obr. č. 5: Fúze SPECT/CT břicha a pánve 4 hod. po aplikaci OctreoScanu.
/

/ Obr. č. 6: Fúze SPECT/CT břicha a pánve 4 hod. po aplikaci OctreoScanu.
/

/ Obr. č. 7: Celotělová scintigrafie 24 hod. po aplikaci OctreoScanu.
/

/ Obr. č. 8: Fúze SPECT/CT břicha a pánve 24 hod. po aplikaci OctreoScanu.
/

/ Obr. č. 9: Fúze SPECT/CT břicha a pánve 24 hod. po aplikaci OctreoScanu.
/

/ Obr. č. 10: Fúze SPECT/CT břicha a pánve 24 hod. po aplikaci OctreoScanu.
/

/ Obr. č. 11: Fúze SPECT/CT břicha a pánve 24 hod. po aplikaci OctreoScanu.
/
Popis:
Pozorujeme patologicky zvýšenou depozici radiofarmaka: nejméně čtyři ložiska v pravém jaterním laloku (ložisko s vysokou akumulací laterálně, největší ložisko vysoce akumulující oválného tvaru dorzokaudálně, další dvě malá dorzolaterálně a kraniálně), vícečetná drobná ložiska v břiše a pánvi, zřejmě v uzlinách mezenteria a na peritoneu, ložisko pod dolním okrajem sleziny.
Akumulace dále ve slezině, ledvinách a střevních kličkách představuje fyziologickou distribuci. Vedl. nález obrovská hydronefróza pravé ledviny bez akumulace.
Závěr:
Mnohočetná ložiska patol. depozice Octreotidu odpovídají generalizaci procesu v dutině břišní - játra, mezenterium, karcinomatoza peritonea, pod slezinou.
Pracoviště:
Fakultní nemocnice Ostrava
Klinika nukleární medicíny
přednosta: doc. MUDr. Martin Havel, Ph.D., MBA
17.listopadu 1790
708 52 Ostrava-Poruba
Lékařská fakulta Ostravské univerzity
kontakt na autora:
otakar.kraft@fno.cz
<<
ZPĚT
|