ONKOLOGIE
- kazuistika
ONK-396 ze dne 15.04.2026
Neuroendokrinní tumor z nejasného primárního zdroje s generalizací, progrese
doc. MUDr. Otakar
Kraft, Ph.D., MBA,
Klinika nukleární medicíny
FN Ostrava
Lékařská fakulta Ostravské univerzity
Kazuistika:
Blíže – viz kazuistika ONK-362.
68letá žena, u které byla provedena pod CT kontrolou biopsie jaterního ložiska v S4b velikosti 65x56x60 mm s histologickým průkazem neuroendokrinního tumoru pravděpodobně z mléčné žlázy. Mamografie a USG prsů je však negativní.
Odeslána onkoložkou k vyšetření před zahájením léčby.
Scintigrafie Octreoscanem
I. v. jsme aplikovali 190 MBq analogu somatostatinu značeného 111In
(přípravek OctreoScan firmy Curium Netherlands B.V.) a provedli pomocí hybridní tomografické scintilační kamery Symbia T2 firmy Siemens opatřené kolimátory pro střední energie planární celotělovou scintigrafii a cílenou tomografickou scintigrafii (SPECT) břicha a pánve kombinovanou s CT.

/ Obr. č. 1: Celotělová scintigrafie v přední a zadní projekci 4 (vlevo) a 24 hod. (vpravo) po aplikaci OctreoScanu.
/

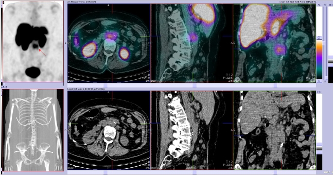
/ Obr. č.
2: Celotělová scintigrafie a fúze SPECT/CT 4 hod. po aplikaci OctreoScanu. Zaměřeno na pravý jaterní lalok s ložiskem.
/
Pozorujeme patologické ložisko zvýšené depozice radiofarmaka v segmentu S4 pravého jaterního laloku, ve dvou uzlinách – jedné nad bránicí a druhé pod levým jaterním lalokem a v pánvi na rozhraní levé kosti kyčelní a kosti křížové, nález svědčí pro tkáň se zvýšenou denzitou somatostatinových receptorů.
Závěr:
U 68leté ženy s neuroendokrinním tumorem nejasného primárního zdroje prokazujeme generalizaci v játrech, uzlinách a skeletu.
Vzhledem k elevaci chromograninu A a scintigrafickému nálezu poté mnohonásobná aplikace Somatuline Autogel 120 mg s.c. (dosud 26x).
22 měsíců po prvním vyšetřením byla pacientka odeslána znovu.
Scintigrafie Octreoscanem
I. v. jsme aplikovali 190 MBq analogu somatostatinu značeného 111In
(přípravek OctreoScan firmy Curium Netherlands B.V.) a provedli pomocí hybridní tomografické scintilační kamery Siemens Symbia Pro.specta X3 opatřené kolimátory pro střední energie planární celotělovou scintigrafii a cílenou tomografickou scintigrafii (SPECT) břicha a pánve kombinovanou s CT.

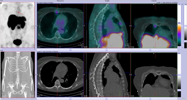
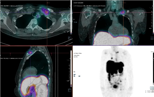
/ Obr. č. 3: Fúze SPECT/CT 4 hod. po aplikaci OctreoScanu. /

/ Obr. č. 4: Fúze SPECT/CT 4 hod. po aplikaci OctreoScanu. /

/ Obr. č. 5: Fúze SPECT/CT 4 hod. po aplikaci OctreoScanu. /

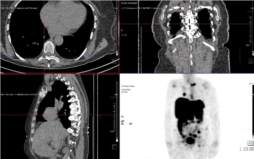
/ Obr. č. 6: Celotělová scintigrafie v přední a zadní projekci 24 hod. po aplikaci OctreoScanu.
/

/ Obr. č. 7: Fúze SPECT/CT 4 hod. po aplikaci OctreoScanu. /

/ Obr. č. 8: Fúze SPECT/CT 24 hod. po aplikaci OctreoScanu. /

/ Obr. č. 9: Fúze SPECT/CT 24 hod. po aplikaci OctreoScanu. /

/ Obr. č. 10: Fúze SPECT/CT 24 hod. po aplikaci OctreoScanu. /
Popis: pozorujeme patologická ložiska zvýšené depozice radiofarmaka-nově nekontrastně ve více LU v levém nadklíčku, v jedné parasternální LU vpravo (úroveň Th6) vel. 10 mm, v LU v dolním mediastinu prekardiálně cca 17 mm, tomograficky zachycena chabě zvýšená akumulace RF v Th páteři v úrovni obratlového těla Th7 a Th8 (v ldCT bez patologického korelátu, nově však v ldCT obraze zjištěna v. s. lýza pravého postranního výběžku obratle Th8), v levém jaterním laloku - S4b, v pravém jaterním laloku - S5 a S6, v LU paraaortálně v úrovni L2/3 15,5 mm - dnes okrsek nápadnější, chabě v levé kosti kyčelní dorsálně při SIS - částečná regrese od min. vyšetření.
Nález svědčí pro přítomnost vícečetných patologických ložisek zvýšené denzity somatostatinových receptorů ve výše uvedených lokalizacích. Ve srovnání s posledním vyšetřením jsou detekována nová ložiska v levém nadklíčku a mediastinu, susp. diskrétní nález i v Th páteři (obratel Th7 a Th8) se zachycenou lýzou postranního výběžku obratle Th8 vpravo v CT obraze, částečná regrese okrsku v levé kosti kyčelní oproti minulému vyšetření.
Závěr:
U nyní 70leté ženy s neuroendokrinním tumorem nejasného primárního zdroje prokazujeme progresi nálezu oproti vyšetření před 22 měsíci.
Pracoviště:
Fakultní nemocnice Ostrava
Klinika nukleární medicíny
přednosta: doc. MUDr. Martin Havel, Ph.D., MBA
17.listopadu 1790
708 52 Ostrava-Poruba
Lékařská fakulta Ostravské univerzity
kontakt na autora:
otakar.kraft@fno.cz
<<
ZPĚT
|