PNEUMOLOGIE
- kazuistika
PNE-55 ze dne 5.3.2018
Oboustranná plicní embolie, kombinovaná perfuzní
a ventilační scintigrafie, hybridní zobrazení SPECT/CT
doc. MUDr. Otakar Kraft,
Ph.D., MBA
Klinika nukleární medicíny
FN Ostrava-Poruba
Lékařská fakulta Ostravské univerzity
Kazuistika
72letá žena.
NO: Pacientka prodělala před deseti měsíci plicní embolii. Nyní je výrazně námahově dušná. Plicní nález (rtg) negativní, jen nepatrné zahuštění plicní kresby suprabasálně vlevo, bodypletysmograficky zvýšení odporů v dýchacích cestách.
Pacientku odeslala plicní lékařka ke scintigrafickému vyšetření pro podezření na recidivu plicní embolizace.
Kombinovaná perfuzní a ventilační scintigrafie plic:
Po značení MAA 99mTc (pertechnetát sodný získán z generátoru Mo-Tc
UltraTechneKow firmy Mallinckrodt Medical) jsme i.v. aplikovali u ležící nemocné 200 MBq
99mTc MAA a provedli na planární scintilační kameře MB 9200 perfuzní scintigrafii plic ve 4 základních projekcích (přední, pravá zadní šikmá, levá zadní šikmá, zadní) v poloze nemocné vsedě kombinovanou se simultánně provedenou ventilační scintigrafií plic (ve stejné poloze pacientky a ve stejných odpovídajících projekcích) po ventilaci kryptonu z
81Rb-81mKr generátoru firmy Mallinckrodt Medical, Holandsko, přípravek
KryptoScan (obr. 1). Perfuzní scintigrafie byla doplněna hybridním zobrazením SPECT/CT na hybridní kameře Symbia Intevo Siemens
(obr. 2-4).

/Obr. č. 1: Kombinovaná perfuzní a ventilační scintigrafie plic. Horní řada scintigramů – perfuze, dolní řada scintigramů -
ventilace /

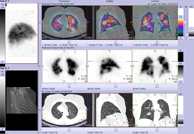
/Obr. č. 2: Perfuzní scintigrafie plic - hybridní zobrazení SPECT/CT, fúze obrazů. Horní řada fúze SPECT/CT, prostřední řada SPECT, dolní řada CT. Vždy vlevo v každé řadě řezy transverzální, vždy uprostřed v každé řadě řezy sagitální, vždy vpravo v každé řadě řezy koronální
/

/Obr. č. 3: Perfuzní scintigrafie plic - hybridní zobrazení SPECT/CT, fúze obrazů. Horní řada fúze SPECT/CT, prostřední řada SPECT, dolní řada CT. Vždy vlevo v každé řadě řezy transverzální, vždy uprostřed v každé řadě řezy sagitální, vždy vpravo v každé řadě řezy koronální
/

/Obr. č. 4: Perfuzní scintigrafie plic - hybridní zobrazení SPECT/CT, fúze obrazů. Horní řada fúze SPECT/CT, prostřední řada SPECT, dolní řada CT. Vždy vlevo v každé řadě řezy transverzální, vždy uprostřed v každé řadě řezy sagitální, vždy vpravo v každé řadě řezy koronální
/
Na ventilačních scintigramech nepozorujeme regionální poruchy ventilace. Při hodnocení scintigrafických obrazů perfuze plic je patrný defekt perfuze v posterobazální části pravého dolního laloku (v zadní projekci). Dle fúze SPECT/CT potvrzujeme tento defekt v pravém dolním laloku, další menší defekt perfuze je v horní části levého dolního laloku a susp. perfuzní defekt v levém horním laloku. Jedná se o tzv. V/P mismatch. Závěr:
prokazujeme známky plicní embolizace do obou plic, výrazněji vpravo.
Závěr
U 72leté ženy jsme scintigraficky prokázali recidivu oboustranné plicní embolizace. Kazuistika ukazuje přínos hybridního zobrazení SPECT/CT.
Pracoviště:
Klinika nukleární medicíny FN Ostrava
a LF Ostravské univerzity
přednosta: doc. MUDr. Otakar Kraft, Ph.D., MBA
17.listopadu 1790
708 52 Ostrava-Poruba
kontakt na autora:
otakar.kraft@fno.cz
<<
ZPĚT
|