PNEUMOLOGIE
- kazuistika
PNE-82 ze dne 15.04.2026
Oboustranná plicní embolie a nespecifická intersticiální pneumonie
doc. MUDr. Otakar
Kraft, Ph.D., MBA,
Klinika nukleární medicíny
FN Ostrava
Lékařská fakulta Ostravské univerzity
Kazuistika:
68letý muž s těžkou plicní hypertenzí v. s. sekundární v rámci plicního onemocnění – intersticiální plicní proces charakteru non-specific interstitial pneumonia. Na kortikoterapii a dlouhodobé domácí oxygenoterapie. Odeslán kardioložkou k vyšetření k vyloučení chronické trombembolické plicní hypertenze.
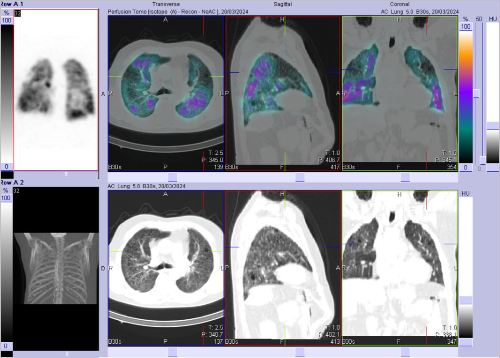
Kombinovaná perfuzní a ventilační scintigrafie plic:
Po značení kitu Pulmocis (makroagregátů lidského sérumalbumínu MAA firmy Curium Netherlands B.V.) pomocí 99mTc (pertechnetát sodný získán z generátoru Mo-Tc UltraTechneKow firmy Curium Netherlands B.V.) jsme i.v. aplikovali u ležící nemocné 150 MBq
99mTc MAA a provedli na tomografické scintilační kameře Anyscan Flex S firmy Mediso perfuzní scintigrafii plic ve 4 základních projekcích (přední, pravá zadní šikmá, levá zadní šikmá, zadní) v poloze nemocného vsedě kombinovanou se simultánně provedenou ventilační scintigrafií plic (ve stejné poloze pacienta a ve stejných odpovídajících projekcích) po ventilaci kryptonu z
81Rb-81mKr generátoru firmy Curium Netherlands B.V., přípravek
KryptoScan. Poté bylo doplněno SPECT/CT plic na hybridní kameře Symbia Intevo firmy Siemens.

/ Obr. č. 1: Kombinovaná perfuzní a ventilační scintigrafie plic. Horní řada scintigramů – perfuze, dolní řada scintigramů – ventilace.
/






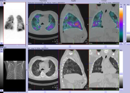
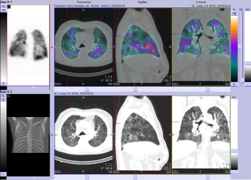
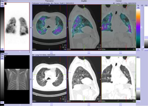
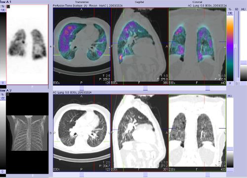
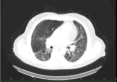
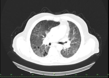
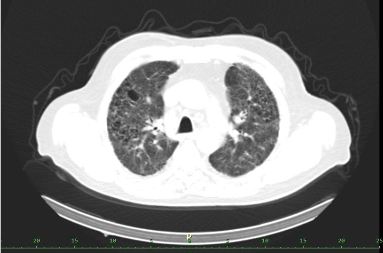
/ Obr. č. 2-7: SPECT/CT plic se zaměřením na vícečetné perfuzní defekty v obou plicních křídlech.
/



/ Obr. č. 8-10: ldCT plic v rámci vyšetření SPECT/CT. /
Na scintigramech pozorujeme vícečetné perfuzní defekty v obou plicích (v horním a dolním laloku pravé plíce a v horním a dolním laloku levé plíce). Dále je homogenní distribuce ventilace v obou plicích.
SPECT/CT potvrzuje tyto perfuzní defekty. Na ldCT je dále patrná Vámi popisovaná nespecifická intersticiální pneumonie, taktéž emfyzém, to však nevysvětluje diskrepanci mezi perfuzí a ventilací. Jde tedy o tzv. V/P mismatch.
Závěr: vícečetné perfuzní defekty v obou plicích (v horním a dolním laloku pravé plíce a v horním a dolním laloku levé plíce). Homogenní distribuce ventilace v obou plicích. V/P mismatch.
Relativní distribuce perfuze: L:P 40:60 %, relativní distribuce ventilace L:P 44:56 %.
Nález svědčí pro plicní embolizaci do obou plicních křídel.
Závěr
U 68letého muže prokazujeme vícečetné perfuzní defekty v obou plicních křídlech při normálním nálezu na ventilační scintigrafii při oboustranné plicní embolizaci.
Pracoviště:
Fakultní nemocnice Ostrava
Klinika nukleární medicíny
přednosta: doc. MUDr. Martin Havel, Ph.D., MBA
17.listopadu 1790
708 52 Ostrava-Poruba
Lékařská fakulta Ostravské univerzity
kontakt na autora:
otakar.kraft@fno.cz
<<
ZPĚT
|