RSO - radiosynoviortéza
- kazuistika
RSO-11 ze dne 15.04.2026
RSO u synovialitis obou SI skloubení
MUDr. Daniela Šimánková
oddělení nukleární medicíny
Nemocnice Pelhřimov, příspěvková organizace
MUDr. Miroslav Šimánek
Ortopedické oddělení
Nemocnice Sokolov
Kazuistika:
Úvod:
Radiosynoviortéza je léčebná metoda, která je vyzkoušená již více než 70 let a používá se k lokální léčbě chronických neinfekčních zánětlivých onemocnění kloubů. Použití RSO u synovialitidy SI skloubení není časté, aplikace radiofarmaka vyžaduje obvykle spolupráci radiologa.
Indikace:
44-letá pacientka přichází pro scintigraficky potvrzenou synovialitis obou SI skloubení. Klinicky výrazná klidová i zátěžová bolest, omezení rozsahu pohybu.
Anamnéza, klinický nález a nález na zobrazovacích metodách:
Pacientka s revmatoidní artritidou na biologické terapii přichází pro recidivující bolesti v oblasti dolní části zad nereagující na revmatologickou biologickou léčbu. Ostatní metody konzervativní terapie měly pouze krátkodobý efekt – NSA a rehabilitace bez efektu, opich SI skloubení bilaterálně - Depomedrol + Mesokain pozitivní efekt trval pouze 10 dní. Trvání bolestí cca 2,5 roku.
Klinický nález: Výrazná palpační bolestivost SI skloubení bilaterálně, bez iradiace bolestí do periferie. Zhoršení rozsahu pohybu L/S páteře pro bolesti.
RTG: Počínající degenerativní změny SI skloubení bilaterálně.
3-fázová scintigrafie skeletu v režimu SPECT/CT prokázala obraz synovialitidy v obou SI skloubeních.
Metodika RSO SI kloubů:
Kontraindikace výkonu u pacientky nejsou.
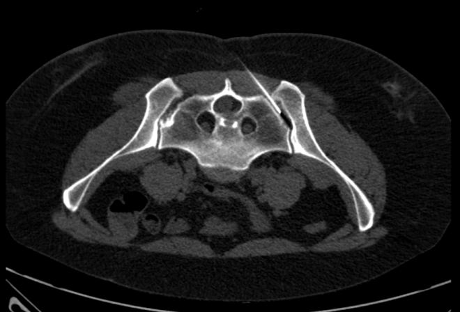
Po punkci levého SI skloubení pod CT kontrolou (obr.1) s podáním malého množství kontrastní látky bylo podáno RF (74 MBq Rhenium 186 sulhide susp.), poté aplikován depotní kortikoid a anestetikum.
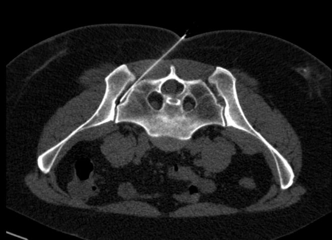
Poté následovala punkce pravého SI skloubení pod CT kontrolou (obr.2) s podáním malého množství kontrastní látky, dále bylo podáno RF (74 MBq Rhenium 186 sulhide susp.), následně aplikován depotní kortikoid a anestetikum.
Výkon proveden bez komplikací.
Následně byla provedena verifikační scintigrafie (obr.3) k posouzení distribuce RF (s využitím spektra brzdného záření).
Pacientka byla důsledně poučena o následném režimu a v doprovodu odchází z
ONM.

/ Obr.1.: Aplikace RF pod CT kontrolou – levé SI skloubení. /

/ Obr.2.: Aplikace RF pod CT kontrolou - pravé SI skloubení. /

/ Obr.3.: SPECT/CT Distribuční scintigrafie – distribuce RF v obou SI skloubeních.
/

/ Obr.4.: SPECT krevního poolu v MIP projekci při kontrolní scintigrafii – normální nález.
/

/ Obr.5.: SPECT krevního poolu v axiálním řezu při kontrolní scintigrafii - normální nález.
/
Další klinický průběh:
Pacientka po provedení RSO chodila na pravidelné kontroly. Pacientka udává odeznění bolestí do 4 dní od aplikace. Bolesti se již nevrátily. Nyní je pacientka již 10 měsíců od aplikace Rhenium 186 sulhide susp. do obou sakro-iliakální kloubů.
Pro nově vzniklé bolesti rukou a loketních kloubů byla odeslána po 8 měsících na scintigrafii skeletu k potvrzení/vyloučení synovialitis postižených kloubů. Zároveň byla nahrána i oblast pánve, kde jsme neprokázali zvýšený krevní pool v oblasti obou SI skloubení.
Diskuze:
Sakrioiliitis je závažnou diagnózou, která pacientům zhoršuje kvalitu života, způsobuje akcentaci degenerativních změn jak v SI skloubeních, tak přilehlých kloubech, které bezprostředně ovlivňuje. Hypomobilita, bolestivost a následně časný rozvoj artrózy nepříznivým způsobem ovlivňuje jak pasivní (skelet, klouby, vazy), tak aktivní (svaly) část pohybového aparátu L/S páteře a kyčelního kloubu. Dochází ke kulhání, špatnému držení těla, rozvoji nefyziologických pohybových vzorců, přetížení paravertebrálních svalů a ochabnutí korzetového svalstva z důvodu hypomobility daného segmetu. To vede k akcentaci degenerativních změn nejdříve L/S páteře a následně v průběhu času i dalších segmentů páteře. Daná kaskáda dějů může způsobit až invalidizaci pacienta.
Závěr:
Pacientka se jak subjektivně (klinicky) tak i objektivně (třífázová scintigrafie skeletu) z neinfekční sakroilitidy vyléčila díky jediné aplikací Rhenium 186 sulhide susp. do obou SI kloubů.
Pracoviště:
Nemocnice Pelhřimov, příspěvková organizace
oddělení nukleární medicíny
Prim. MUDr. Ing. Milan Šimánek, Ph.D.
Slovanského bratrství 710
393 01 Pelhřimov
kontakt na autora:
RSO.Simanek@gmail.com
https://www.klouby-rso.cz/
<<
ZPĚT
|