SKELET, ZÁNĚTY, INFEKCE
- kazuistika
SKE-151 ze dne 02.04.2025
Osteomyelitida tibie, Scintimun
doc. MUDr. Otakar
Kraft, Ph.D., MBA
Klinika nukleární medicíny
FN Ostrava
Lékařská fakulta Ostravské univerzity
Kazuistika
NO: 47letý muž 09/2021 spadl a způsobil si frakturu distální tibie, následně byla provedena syntéza dlahou a solo šroubky. Od operace převazy rány pro intermitentní sekreci a uvolňování šroubků. 09/2022 extrakce dlahy, ponechány šroubky v pylonu tibie. Trvá sekrece v dolním pólu rány. 03/2023 extractio implantati, excochleatio fistulae, sekvestrotomie, poté trepanatio tibiae dist., excochleatio, sekvestrectomie, aplicatio BonAlive gr. (syntetický bioaktivní skleněný kostní graft pro plnění, rekonstrukci a regeneraci kostních defektů ve formě granulí), NPWT (negative pressure wound therapy – podtlaková terapie rány), následně revisio, deliberatio cutis, NPWT, sec. sutura s kapil. drénem.
Vyšetření zánětlivého procesu – scintigrafie 03/2023:
Za 3,5 a 24 hod. po i. v. aplikaci 700 MBq 99mTc- besilesomabu (přípravek
Scintimun firmy Curium Netherlands B.V. = monoklonální protilátky proti granulocytům) jsme provedli celotělové scintigramy a cílenou tomografickou scintigrafii (SPECT) bérců kombinovanou s CT
(obr 1-3) na hybridní tomografické scintilační kameře Symbia T2 firmy Siemens.

/ Obr. č. 1: Celotělová scintigrafie a fúze obrazů SPECT a CT za 3,5 hod. po aplikaci radiofarmaka.
/

/ Obr. č. 2: Fúze obrazů SPECT a CT za 3,5 hod. po aplikaci radiofarmaka.
/

/ Obr. č. 3: Fúze obrazů SPECT a CT za 3,5 hod. po aplikaci radiofarmaka.
/
Popis: zvýšená depozice radioindikátoru povrchově v distální části pravého bérce ventrolaterálně v místě, kde je patrný kožní defekt. Nález svědčí pro zánětlivé ložisko povrchově na kůži
mimo kost.
Poslední stěry 03/2023: Pseudomonas aeruginosa.
Nyní bez ATB terapie, ambulantně převazy. Lokálně přetrvává defekt na mediální straně distální části bérce vpravo (v regresi), aktuálně bez produkce.
Vyšetření zánětlivého procesu – scintigrafie 08/2023:
Za 3 a 24 hod. po i. v. aplikaci 700 MBq 99mTc - besilesomabu (přípravek
Scintimun firmy Curium Netherlands B.V. = monoklonální protilátky proti granulocytům) jsme provedli celotělové scintigramy a cílenou tomografickou scintigrafii (SPECT) bérců kombinovanou s CT
(obr 4-7) na hybridní tomografické scintilační kameře Symbia T2 firmy Siemens.

/ Obr. č. 4: Celotělová scintigrafie a fúze obrazů SPECT a CT za 3 hod. po aplikaci radiofarmaka.
/

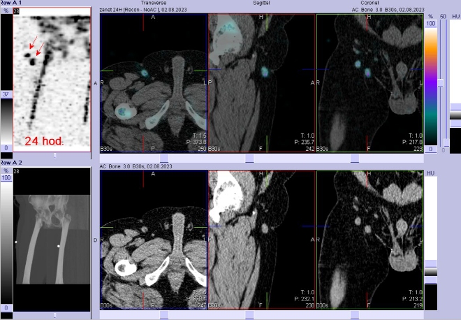
/ Obr. č. 5: Fúze obrazů SPECT a CT za 24 hod. po aplikaci radiofarmaka.
/

/ Obr. č. 6: Fúze obrazů SPECT a CT za 24 hod. po aplikaci radiofarmaka.
/

/ Obr. č. 7: Fúze obrazů SPECT a CT za 24 hod. po aplikaci radiofarmaka. Radioaktivita v zánětem aktivovaných dvou tříselných uzlinách vpravo.
/
Popis:
Patologická zánětlivá ložiska - povrchově podkožně v distální části pravého bérce spolu s ložiskem ve stejné lokalizaci na bérci, ale
již postihující kost. Další dvě ložiska v aktivovaných tříselných uzlinách vpravo. Při vyš. 03/2023 bylo patrné pouze povrchové ložisko v distální části pravého bérce v místě kožního defektu, bez postižení kosti.
Závěr
Prokazujeme osteomyelitidu distální části pravé tibie.
Pracoviště:
Fakultní nemocnice Ostrava
Klinika nukleární medicíny
přednosta: doc. MUDr. Martin Havel, Ph.D., MBA
17. listopadu 1790
708 52 Ostrava-Poruba
a Lékařská fakulta Ostravské univerzity
kontakt na autora:
otakar.kraft@fno.cz
<<
ZPĚT
|