ONKOLOGIE
- kazuistika
ONK-286 ze dne 13.05.2019
Neuroendokrinní tumor s mnohočetnými metastázami v játrech, skeletu, uzlině, další progrese
doc. MUDr. Otakar Kraft,
Ph.D., MBA
Klinika nukleární medicíny
FN Ostrava
Lékařská fakulta Ostravské univerzity
Kazuistika:
NO: kazuistiky uvedeny dříve – ONK-228 a ONK-250.
Pacient prodělal paliativní ileocekální resekci pro tumor terminální části ilea, zjištěna karcinomatosa peritonea a bránice, metastázy v obou jaterních lalocích. Histologicky byl prokázán neuroendokrinní tumor G2 generalizovaný v dutině břišní. Opakovaně scintigraficky Octreoscanem vyšetřen 9/2014 a 9/2015, byla zjištěna generalizace nádoru do jater, skeletu, jedné uzliny.
V srpnu 2017 byl odeslán onkoložkou ke zhodnocení efektu dlouhodobé terapie sandostatinem (poslední aplikace v červenci 2017).
Scintigrafie Octreoscanem
I.v. jsme aplikovali 220 MBq analogu somatostatinu značeného 111In (přípravek
OctreoScan firmy Mallinckrodt Medical). Provedli jsme pomocí dvoudetektorové hybridní tomografické kamery Symbia T2 (SPECT/CT) firmy Siemens opatřené kolimátory pro střední energie planární celotělovou scintigrafii za 4 a za 24 hod., navíc cílenou tomografickou scintigrafii (SPECT) hrudníku, břicha a pánve kombinovanou s CT za 4 a za 24 hod.
(obr. 1-8).

/ Obr. č. 1: Celotělová scintigrafie v přední a zadní projekci. Vyšetření 4 a 24 hod. po aplikaci radioindikátoru.
/

/ Obr. č. 2: Celotělová scintigrafie v přední a zadní projekci. Dvojí modulace obrazu. Vyšetření 24 hod. po aplikaci radioindikátoru.
/

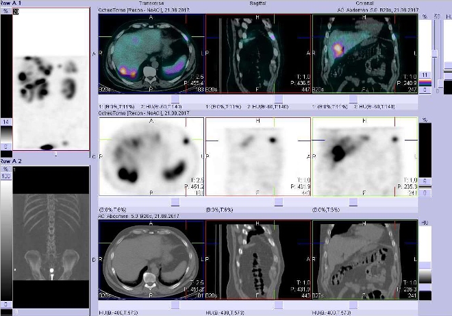
/ Obr. č. 3: Fúze obrazů SPECT a CT. Vyšetření 4 hod. po aplikaci radioindikátoru. Zaměřeno na ložisko ve ventrální části pravého jaterního laloku.
/

/ Obr. č. 4: Fúze obrazů SPECT a CT. Vyšetření 4 hod. po aplikaci radioindikátoru. Zaměřeno na ložisko v kosti kyčelní vlevo nad acetabulem.
/

/ Obr. č. 5: Fúze obrazů SPECT a CT. Vyšetření 4 hod. po aplikaci radioindikátoru. Zaměřeno na ložisko v žebru vlevo ventrálně.
/

/ Obr. č. 6: Fúze obrazů SPECT a CT. Vyšetření 24 hod. po aplikaci radioindikátoru. Zaměřeno na ložisko v hrudním obratli a v krční uzlině vpravo.
/

/ Obr. č. 7: Fúze obrazů SPECT a CT. Vyšetření 24 hod. po aplikaci radioindikátoru. Zaměřeno na ložisko v podkoží nad hrudní páteří vpravo v úrovni Th3-4 a v hrudním obratli.
/

/ Obr. č. 8: Fúze obrazů SPECT a CT. Vyšetření 24 hod. po aplikaci radioindikátoru. Zaměřeno na ložisko v mediastinu na perikardu ventrálně a v klíční kosti vlevo mediálně.
/
Pozorujeme mnohočetná patologická ložiska zvýšené depozice radioaktivity v obou jaterních lalocích, skeletu (hrudní obratle, sternum, sternoklavikulární skloubení, žebro, pánev, klíční kost), v uzlinách (na krku vpravo, při vena cava inferior vlevo, v retroperitoneu), měkkých tkáních (v podkoží na zádech v úrovni nad obratli Th3-4, v mediastinu na perikardu).
Nález při vyšetření Octreoscanem svědčí pro mnohočetná ložiska se zvýšenou hustotou somatostatinových receptorů (metastázy) v popsaných lokalizacích.
Závěr:
U nyní již 62letého muže jsme opakovaným scintigrafickým vyšetřením pomocí Octreoscanu prokázali mnohočetné metastázy neuroendokrinního nádoru v játrech, skeletu, uzlinách a měkkých tkáních. Ve srovnání s předchozím vyšetřením před dvěma roky i přes dlouhodobou terapii sandostatinem došlo k opětovné progresi.
Pracoviště:
Klinika nukleární medicíny FN Ostrava
a LF Ostravské univerzity
přednosta: doc. MUDr. Otakar Kraft, Ph.D., MBA
17.listopadu 1790
708 52 Ostrava-Poruba
kontakt na autora:
otakar.kraft@fno.cz
<<
ZPĚT
|