RSO - radiosynoviortéza
- kazuistika
RSO-12 ze dne 15.04.2026
RSO u synovialitis levého SI skloubení
MUDr. Daniela Šimánková
oddělení nukleární medicíny
Nemocnice Pelhřimov, příspěvková organizace
MUDr. Miroslav Šimánek
Ortopedické oddělení
Nemocnice Sokolov
Kazuistika:
Úvod:
Radiosynoviortéza je léčebná metoda, která je vyzkoušená již více než 70 let a používá se k lokální léčbě chronických neinfekčních zánětlivých onemocnění kloubů. Použití RSO u synovialitidy SI skloubení není časté, aplikace radiofarmaka vyžaduje obvykle spolupráci radiologa.
Indikace:
37letý pacient indikován ortopedem pro scintigraficky potvrzenou výraznou synovialitidu levého SI skloubení
(obr.1, 2). Klinicky výrazná klidová i zátěžová bolest, omezení pohybu - značné zhoršení v posledních měsících.
Anamnéza: 37-letý pacient přichází do ambulance ortopeda pro asi 3 roky trvající bolesti levého kyčelního kloubu. Pacient se v dětství neléčil s kyčelními klouby pro dysplázii, úraz také neguje. Je sportovně aktivní, pravidelně chodí do posilovny, věnuje se amatérsky fotbalu. Zpočátku pociťoval úlevu od bolestí díky fyzioterapii a chiropraktické terapii. V posledním půl roce jsou dané metody již neefektivní. Bolesti se zhoršují po zátěži.
Klinický nález: Levý kyčelní kloub stabilní, hybnost volná, mírná algicita v maximální flexi, která se ale spíše projikuje do zad. Dále mírné nebolestivé omezení vnitřní rotace, jinak fyziologický nález na kyčelním kloubu. LDK je do 1 cm kratší než PDK. Palpační citlivost levého SI skloubení s iradiací bolestí do levého kyčelního kloubu.
RTG: Coxarthrosis vlevo I.-II. st. Počínající artróza SI skloubení bilaterálně
Doporučení: Scintigrafie skeletu v režimu SPECT/CT k potvrzení / vyloučení synovialitis kyčelního kloubu a SI skloubení.

/ Obr.1.: SPECT/CT v axiálním řezu - zvýšený krevní pool v oblasti levého SI skloubení.
/

/ Obr.2.: SPECT/CT v koronárním řezu - zvýšený krevní pool v oblasti levého SI skloubení.
/
Metodika RSO u SI skloubení:
Kontraindikace výkonu u pacienta nejsou.
Po punkci kloubu pod CT kontrolou (obr.3) s podáním KL (Optiray 350) bylo podáno RF, následně aplikován 0,1 ml Depo-Medrol s 0,2 ml 1% Mesocainem.
Intraartikulárně aplikováno: 74 MBq Rhenium 186 sulhide susp.
Výkon proveden bez komplikací.
Následně provedena verifikační scintigrafie (obr.4) k posouzení distribuce RF (s využitím spektra brzdného záření). Distribuce RF pro RSO odpovídá rozsahu prokázané synovialitidy.
Poté aplikováno 0,4ml Clexane s.c., pacient poučen o režimových opatřeních a odeslán v doprovodu do domácího prostředí.

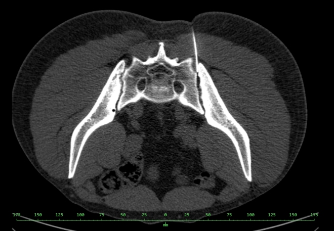
/ Obr.3.: Aplikace RF pod CT kontrolou - zavedení jehly do levého SI skloubení.
/

/ Obr.4.: SPECT/CT distribuční scintigrafie v axiálním a koronárním řezu - RF v levém SI skloubení.
/
Další klinický průběh:
Pacient pocítil úlevu od bolestí do 3 dnů od aplikace RSO. Po dodržení předepsaného klidového režimu pacient postupně plynule přechází na plnou sportovní zátěž, na jakou byl zvyklý. V posilovně zvedá břemena (deadlift), dřepuje se zátěží... Fotbal hraje bez omezení. Nyní je pacient již rok od aplikace RSO a i při plném sportovním zatížení nepociťuje návrat klinických obtíží.
Diskuze:
U bolestí v oblasti kyčelního kloubu vždy musíme myslet také na to, že příčina bolestí se může a často se také nachází, mimo kyčelní kloub. Nejčastěji se jedná o patologii sousedních kloubů - SI skloubení, kolenní kloub. Dalším faktorem může být funkční porucha pohybového aparátu, jako například svalové dysbalance, svalové přetížení a spazmy, atd.
Závěr:
Provedení RSO levého SI skloubení vedlo k rychlému ústupu bolestí a umožnilo postupný návrat do aktivní sportovní činnosti.
Pracoviště:
Nemocnice Pelhřimov, příspěvková organizace
oddělení nukleární medicíny
Prim. MUDr. Ing. Milan Šimánek, Ph.D.
Slovanského bratrství 710
393 01 Pelhřimov
kontakt na autora:
RSO.Simanek@gmail.com
https://www.klouby-rso.cz/
<<
ZPĚT
|