SKELET, ZÁNĚTY, INFEKCE
- kazuistika
SKE-92 ze dne 30.12.2015
Angiolipom nebo arteriovenózní malformace stehna
MUDr. Otakar Kraft,
Ph.D., MBA
Klinika nukleární medicíny
FN Ostrava-Poruba
Lékařská fakulta Ostravské univerzity
Kazuistika
NO: 39letý muž asi rok a půl pozoruje rezistenci v laterální části
pravého stehna – tedy především v oblasti m. vastus lateralis, což je
největší část m. quadriceps femoris.
Obj. nález: v laterální části dolní třetiny pravého stehna hmatná
rezistence, která je nepřesně ohraničená.
Provedeno vyšetření magnetickou rezistencí se závěrem: lipomatozní
tumor velikosti 14x5x3 cm s bohatou cévní složkou v m. vastus lateralis přesahující
i přes fascii do m. vastus intermedius.
Angiografie (DSA) pravé dolní končetiny:
Nativně se ozřejmuje na rozhraní dolní třetiny diafýzy femoru vpravo vřetenovitě
zesílená kompakta nad úroveň kosti, více ventrálně, na vrcholu vyklenutí
neostrých kontur. V časné arteriální fázi při laterální kontuře femoru
v této úrovni klubko patologické vaskularizace zásobené ze silné svalové
větve a. femoralis a částečně z drobných svalových větví a. femoralis
profunda shora. V arteriální fázi dochází k předčasnému žilnímu návratu,
který je při horním okraji nidu žilou varikozního rozšíření, ze dvou žil
pak na mediální straně. V klasické žilní fázi je expanze bez náplně, k
eventuálnímu vysycení ložiska nedochází. Závěr: angiolipom nebo AV
malformace? Periostální reakce na okraji kosti.
Onkomarkery: negativní. CT plic negativní.
Pacient byl ortopedem před plánovanou operací stehenní rezistence odeslán
ke scintigrafii skeletu. Třífázovou scintigrafii stehen (první fáze
bezprostředně po i. v. aplikaci, tzv. blood pool – tkáňová perfuze za 3
min. a pozdní kostní fáze za 2,5 hod. po injekci radiofarmaka) (obr.
1-3) a celotělové scintigramy (obr. 4) jsme provedli po
podání 868 MBq 99mTc-oxidronátu (přípravek TechneScan
HDP firmy Mallinckrodt Medical) na hybridní tomografické scintilační
kameře Symbia T2 firmy Siemens.
Vyšetření jsme doplnili o cílenou tomografickou scintigrafii (SPECT) stehen
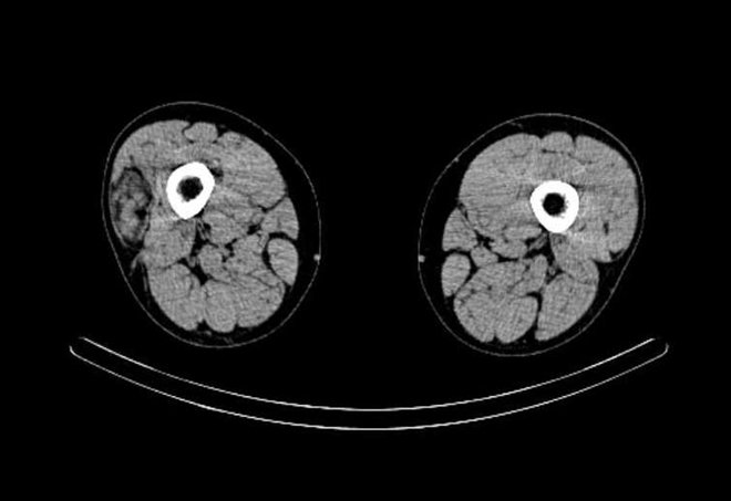
kombinovanou s CT (obr. 4). Samostatné CT obrazy (transverzální
řezy)stehen jsou patrné z obr. 4-10.

/ Obr. č. 1: Třífázová scintigrafie stehen – 1. až 3. fáze.
/

/ Obr. č. 2: Třífázová scintigrafie stehen – 1. až 2. fáze.
/

/ Obr. č. 3: Třífázová scintigrafie stehen –3. fáze.
/

/ Obr. č. 4: Celotělová scintigrafie v přední a zadní projekci a fúze obrazů SPECT a
CT.
Vpravo zaměřeno na ložisko ve ventrální části pravé kosti stehenní – vpravo nahoře fúze obrazů SPECT a CT, vpravo dole
CT.
Vpravo řezy transverzální, řezy sagitální a řezy koronální.
/

/ Obr. č. 5: „low dose“ CT obou stehen – transverzální řez.
/

/ Obr. č. 6: „low dose“ CT obou stehen – transverzální řez.
/

/ Obr. č. 7: „low dose“ CT obou stehen – transverzální řez.
/

/ Obr. č. 8: „low dose“ CT obou stehen – transverzální řez.
/

/ Obr. č. 9: „low dose“ CT obou stehen – transverzální řez.
/

/ Obr. č. 10: „low dose“ CT obou stehen – transverzální řez.
/
Pozorujeme asymetrickou perfuzi se zvýšenou perfuzí v ložisku v laterální části pravého stehna, přičemž perfuze je nejvíce zvýšená na počátku vyšetření, pak se intenzita této hyperperfuze o něco snižuje. V pozdní kostní fázi je vyšší depozice radioaktivity v ložisku ve ventrální části diafýzy pravé kosti stehenní subperiostálně (ve stejné úrovni jako ložisko v laterální části stehna, ale obě ložiska se nekryjí), drobné ložisko v pravé části obratle L5. Výrazný nález je při vyšetření „low dose“ CT, který odpovídá popisovanému nálezu na CT. Závěr: drobné ložisko se zvýšenou osteoblastickou aktivitou v pravé části obratle L5 při lehkých degenerativních změnách. Patologické ložisko se zvýšenou perfuzí v laterální části pravého stehna, ložisko se zvýšenou osteoblastickou aktivitou ve ventrální části diafýzy pravé stehenní kosti subperiostálně (obě popsaná ložiska jsou ve stejné úrovni stehna, ale svou lokalizací se nekryjí). Při vyšetření pomocí „low dose“ CT bohatě vaskularizované ložisko nepravidelného tvaru v laterální části pravého stehna zasahující až ke stehenní kosti.
Závěr
V uvedeném případě 39letého muže je zajímavý nález na třífázové a celotělové scintigrafii skeletu a při fúzi obrazů SPECT a CT při suspektním angiolipomu nebo arteriovenózní malformaci pravého stehna s periostální reakcí stehenní kosti.
Pracoviště:
Fakultní nemocnice Ostrava
Klinika nukleární medicíny
přednosta: MUDr. Otakar Kraft, Ph.D., MBA
17.listopadu 1790
708 52 Ostrava-Poruba
a Lékařská fakulta Ostravské univerzity
kontakt na autory:
otakar.kraft@fnspo.cz
<<
ZPĚT
|