SKELET, ZÁNĚTY, INFEKCE
- kazuistika
SKE-153 ze dne 08.11.2025
Osteolytická a osteoblastická metastáza tumoru ledviny
doc. MUDr. Otakar
Kraft, Ph.D., MBA,
Klinika nukleární medicíny
FN Ostrava
Lékařská fakulta Ostravské univerzity
Kazuistika:
NO: 58letá žena, u níž byla na CT zjištěna objemná vaskularizovaná expanze pravé ledviny 10x12 cm bez trombózy, bez lymfadenopatie. Poté na CT zobrazeny četné plicní metastázy velikosti do 4 cm a metastáza na rozhraní acetabula a kosti kyčelní vpravo. Pod CT kontrolou provedena biopsie nádoru ledviny. Jedná se o tumor pravé ledviny (12 cm) cT2b cN0cM1 (plíce, pravá kyčel).





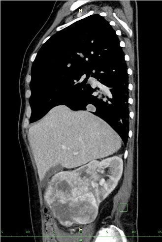
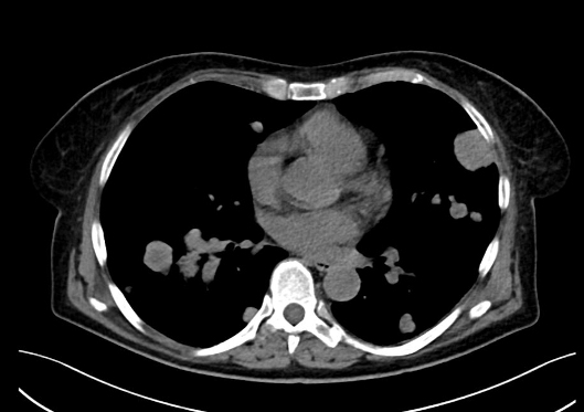
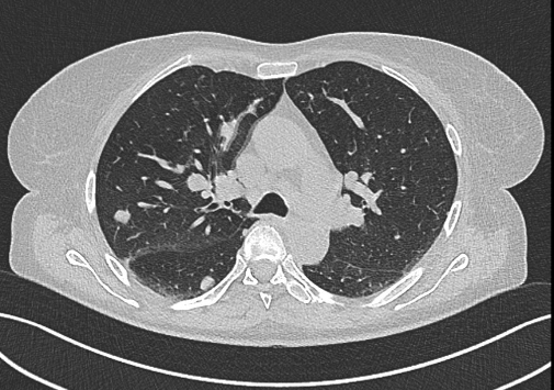
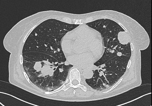
/ Obr. č. 1-5: CT hrudníku, břicha a pánve, patrná expanze pravé ledviny, plicní metastázy, lytická metastáza v pravé kyčelní kosti.
/
Byla odeslána urologen ke scintigrafii skeletu k posouzení rozsahu metastatického postižení.
Celotělové scintigramy a SPECT/CT pánve, bederní páteře, kyčelních kloubů a proximální části stehenních kostí jsme provedli po podání 600 MBq
99mTc-oxidronátu (přípravek TechneScan HDP firmy Curium Netherlands B. V.) na hybridní tomografické scintilační kameře Symbia Intevo firmy Siemens
(obr. 6-10).

/ Obr. č. 6: Celotělová scintigrafie a SPECT/CT pánve, kyčlí a proximální části stehenních kostí.
/

/ Obr. č. 7: Fúze obrazů SPECT a CT pánve. Lytické ložisko v pravé kyčelní kosti.
/



/ Obr. č. 8-10: Fúze obrazů SPECT a CT bederní páteře, pánve, kyčelních kloubů, proximální části stehenních kostí.
/
Popis:
Patologické ložisko vyšší osteoblastické aktivity v proximální části diafýzy pravé stehenní kosti. Osteolytická léze v kosti kyčelní vpravo těsně nad pravým kyčelním kloubem zasahující zčásti i do acetabula, na jejím mediálním okraji je vyšší osteoblastická aktivita.
Nález odpovídá metastatickému postižení skeletu (jak osteolytická, tak osteoblastická metastáza). Degenerativní změny páteře.
Závěr
V uvedeném případě pacientky s tumorem pravé ledviny prokazujeme jak osteolytickou, tak osteoblatickou metastázu v popsaných lokalizacích.
Pracoviště:
Fakultní nemocnice Ostrava
Klinika nukleární medicíny
přednosta: doc. MUDr. Martin Havel, Ph.D., MBA
17.listopadu 1790
708 52 Ostrava-Poruba
Lékařská fakulta Ostravské univerzity
kontakt na autora:
otakar.kraft@fno.cz
<<
ZPĚT
|